20代の看護師さん。主訴は「矯正を始めるが、『事前に親知らずの抜歯を済ませておくように』と言われた」でした。
レントゲン撮影の結果、歯が下顎の骨の深い位置に埋まっていました。
さらに詳しく調べるため、CT撮影を院内で実地。すると、アゴ骨を走行する太い神経と歯の根の先が交差していることも判明。
よほどの事がない限り、絶対に抜歯をすすめることのない“難しい症例”であった。
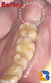
矯正前のお口の状態。いち早く矯正を始めるため、抜歯を急がれていることも納得できます。
歯肉と骨、そして舌(歯並びが内向きなため)に囲まれていた親知らずの歯。かなり難しい抜歯でしたが無事に終わりました。
CT画像で抜歯のシュミレーション(準備)が事前にできていたことが、短い時間の施術につながりました。
※抜歯痕にはテルプラグの添入をおこない、抜歯後の痛みや腫れを最小限に抑える処置を無料でおこなっています。
元気・やる気・Dr.鈴木のコラム
2016/4/23
矯正前の難しい親知らずの抜歯











