遠方より40代の女性。主訴は「前歯がグラグラしている。何処の歯医者さんに行っても『これは抜かないとダメ』と言われる」でした。
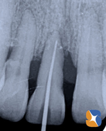
〈レントゲンの結果〉
歯周病のため、歯を支えている骨がかなり失われています。このレントゲン画像を見れば、まず「抜歯」と言われるでしょうね。本気で残すことを希望するのであるならば、歯茎の手術&再生治療(エムドゲイン)を考えます。仮にグラつきが落ち着けば、最後はセラミックで前歯をきれいに整えますか?。
〈治療前〉
前歯が垂れ下がり、見た目も良くないので先ず、歯から神経を抜き取る治療にとりかかる。
歯茎の手術&再生治療(エムドゲイン)を行った後、歯の形を小さくしてセラミックの被せを入れる準備をおこなう。
治療開始から5ヶ月後、無事にセラミックの歯を装着して終えることができました。グラグラもほぼ落ち着き、経過良好です。
患者様にも満足していただくことができました。
元気・やる気・Dr.鈴木のコラム
2016/3/25
危機一髪!抜歯を救う再生治療











