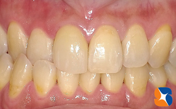
年末の急患30代の女性。主訴は、「転倒して前歯が欠けた。しみる。強度があり、長持ちする歯を年内に出来ますか?」でした。
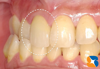
神経の残したまま、セラミックの被せ物を装着する準備を開始。多彩な色見本と一緒に、お口の中の撮影は必須。毎晩、この写真を参考に前歯を製作しています。
前歯の状態を、特殊なカメラを使って読み込み、PCに映し出される。
パソコン内で理想的な前歯の形を設計。この情報を元に、セラミックのブロックが削られ、オールセラミックが出来上がります。
削り上がったセラミックの歯に、個々の患者様に合った細かな色付けを行い、高温で焼き付けて、オールセラミックの被せが完成されます。
院内で私が技工をおこなっているので、色、形、つや出し全てその場で修正が可能です。そのため、何度も足を運ぶ必要はございません。
12/22 初診。日曜、祝日をはさみ、12/28 納品。完璧な仕上がりに患者様も会心の笑顔。
価格も、¥70,000とかなり良心的であると自負しております。
元気・やる気・Dr.鈴木のコラム
2015/12/30
セレックが窮地を救う こん身の一本











