元気・やる気・Dr.鈴木のコラム

 2016/1/24 

カリスマ美容師のセカンドオピニオン
カテゴリ:審美 歯科全般 

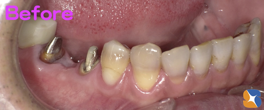
奥歯を抜歯 インプラント 大東市から40代の男性。訴えは「奥歯の根が割れていて(=写真 X 部=)、『1本まるまる抜歯する』と説明された。
また、抜歯後は “インプラント” 強くを薦められている。一度、先生の御意見を聞かせていただきたい」でした。

奥歯 半分だけでも残す 〈治療前のX線〉
Dr「1本の奥歯を半分 抜歯して、半分 残すという分割テクニック法があります。その後は、3連結のブリッジ(入れ歯ではない)にできます」


奥歯を半分にして残す 〈治療後のX線〉
予定通り、3連結のブリッジ(オールセラミック)を装着したところです。痛みもなく、快適に食事がとれているとのこと。

奥歯を半分にして残す 奥歯を半分にして残す オールセラミック
オールセラミックのブリッジは、セレックを使用して私が自ら製作、完成させています。