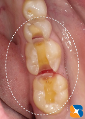
大阪出身の女子プロゴルファー来院。主訴は「先週、治療を終えたばかりなのに痛みが治まらない。来週から沖縄でツアーが始まる。なんとか痛みを無くして欲しい。」でした。レントゲンでチェックすると、奥の親知らずから4本連続で虫歯が残ったままでした。
左絵は、お口の中の状態を確認したところです。
奥には手盛りで「粗雑な詰め方」をした白い歯と虫歯の穴で崩壊した親知らずの歯がありました。
女性のお口は小さいため、奥歯は特に虫歯になりやすく、治療も困難になる事が多いです。
また、親知らずが横向きに生えてきて虫歯になることが多くあります。そのため、隣りの歯に虫歯が移ることは頻繁にあるとはいえ…。 続きを読む
元気・やる気・Dr.鈴木のコラム
ツアー開幕プロゴルファーがピンチ!?
カテゴリ:審美 歯科全般 親知らず
競輪選手のスマイルを応援します。
カテゴリ:お知らせ 審美
ご紹介にて遠方より競輪選手。主訴は「神経を抜いてから変色してしてしまった前歯をキレイにしたい。」でした。
早速、金属を一切使っていないセラミック(オールセラミック)を装着する準備に取り掛かりました。写真の①、②は、変色してしまった歯の表面をすべて削ったところです。 続きを読む
最終回はブリッジで来年への架け渡し
カテゴリ:審美 歯科全般
奈良より20代の女性。主訴は「保険で入れた接着製のブリッジの色が気になる。神経を残したまま、セラミックのブリッジに変えられますか?」でした。
レントゲンで確認すると、犬歯が歯茎に中で斜めに横たわって埋もれている事が判明しました。
Dr:「1本歯少ないので、ブリッジになったのですね。矯正医(Dr長屋)とも相談しましたが、埋もれている犬歯を外科手術&矯正の力で生えさせられる確立は50%と診断しました。安全策として、神経を残したままの“ブリッジ治療”でいきましょう!」
続きを読む
自らセラミックを焼き上げて仕上げる理由
カテゴリ:審美 歯科全般
20代の女性。主訴は「昔ぶつけた前歯が変色し、痛み出してきた。キレイなセラミックの前歯に変えたかったが、予算のこともあるので色々調べた結果、先生にお願いしたいと思ってここに来た。」でした。
Dr:「もともと金属付きのセラミック(技工士さんが製作)は1本¥70,000円でしたが、セレックを導入(自力でセラミックの被せ物を製作)して以来、価格を¥10,000円値下げました。それだけではありません。自分の手で前歯の細かな色調を巧みに表現できるので、患者様から好評をいただいております。
(1)まず、仮歯の部分を外す(=写真上=)。
(2)型取りを行って金属の補強芯を挿入。
(3)全周きちんと精密に削って、型取りに備える(=写真左=)。
セレックを使用すれば、オールセラミックの前歯が瞬時に出来上がりますが、まだこの段階ではツヤも光沢もありません。荒削りなセラミックの前歯をお口の中に装着して、形や色の手直しを行い、多種多彩な色調ペーストを重ね合わせることで患者様各位に合った自然で美しい前歯へと変身していきます。
※780℃の焼成機で、色付けしたセラミックの歯を焼き上げると、ツヤが出て、巧みなセラミックの前歯が完成します。
続きを読む
恐怖の抜歯!一回で3本!まとめて4日分の治療
カテゴリ:審美 歯科全般 親知らず
遠方より20代の患者様。主訴は「下の親知らずをなんとかしたいが、とにかく歯の治療が恐くて恐くて仕方がない。できれば、内側にはみ出した上の歯もなんとかしたい。」でした。
※過去の点滴では脈が見えにくく、“上手くいかなかった事の方が多い”とのこと。
下の奥歯は内側に傾き、舌は歯ぎしり痕が残るほどの大きな舌です。CT撮影の結果、歯の根の先が、釣り針のように折れ曲がっていることが判明。想像以上に難しい抜歯になると予測。
このまま抜歯を続けると、根の先が折れるのでは!?と指先の感覚と検討しながらの抜歯でしたが、無事に抜く事ができました。
水色の点線:内側にはみ出した歯
黒色の点線:再び虫歯になってしまった歯
Dr:「この内側にはみ出した歯を抜歯しても噛み合わせには影響しません(下の歯と全く噛み合されたいないため)。むしろ、隣接する歯を虫歯や歯周病にさせるため、抜歯した方がいいと思います。」という事で上の歯も抜歯することになりました。
抜歯と同時に、隣接する歯の虫歯治療も行う予定(3カ所目)。 続きを読む
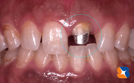
お薬の副作用で前歯が変色
カテゴリ:審美 歯科全般
奈良/生駒より40代の女性。主訴は「小さい頃の薬の影響で前歯が変色している。子どもの卒業式を前に、綺麗にしたい」でした。
歯を削り、セレックで読み込む直前の状態。 続きを読む
現場から直行 夜8時半スタートの審美
カテゴリ:審美 歯科全般
遠方より30代の男性。主訴は「仕事が忙しくて夜の8時半にしか来れない。前歯を全部セラミックにして綺麗にしたい」でした。
今年1月の初診時。 続きを読む
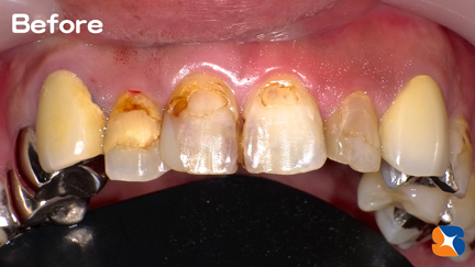
かわいい小顔はドクター泣かせ
カテゴリ:審美 歯科全般
20代の女性。主訴は「奥歯の銀の詰め物を白色(セラミック)に代えて欲しい」でした。
銀の詰め物を除去したところ、中から虫歯が再発していることが確認(=左写真)。
ただし、小顔のため、下顎のアーチが狭く、奥歯も内側に倒れていました。
これは歯科医にとって、かなり難しい(均整のとれた形にきちんと削るには)ケースです。
患者様に協力してもらい、虫歯部分を徹底的に除去できました。極度に深い虫歯の場合は、歯の代替素材(バルク)を使って神経への刺激を抑えた後、セレックを用いて削ったこの状態(左図)をPCに読み込み、画像処理を行いました。 続きを読む
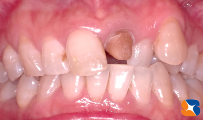
東京から同級生 前歯を2回でチェンジ
カテゴリ:審美 歯科全般
奈良高校時代の同級生。主訴は「高校時代に神経を抜いたままの前歯をキレイにして欲しい。週末(金曜)に東京から帰省して、日曜日には帰るので、2日間(金曜と土曜の2回)でお願いします」でした。
「遠方&2日で完成」という失敗の許されないプレッシャーの中、治療開始。変色した前歯を削り、セレックに読み込ませ、セレックで仮歯を作る準備を始める。 続きを読む
おしゃれママ、前歯も綺麗に!
カテゴリ:審美 歯科全般
20代の女性。主訴は「神経を取った前歯が変色(黄色)してきた。出っ歯にもなっているので、綺麗にしたい」でした。
セレックを使用して、最終的にはオールセラミックの被せを装着して綺麗にする計画をたてました。 続きを読む











