ご紹介にて遠方より競輪選手。主訴は「神経を抜いてから変色してしてしまった前歯をキレイにしたい。」でした。
早速、金属を一切使っていないセラミック(オールセラミック)を装着する準備に取り掛かりました。写真の①、②は、変色してしまった歯の表面をすべて削ったところです。
削り終えた1本目の歯をセレックを使い、PCにスキャンしたところです。
削り終えた歯の形が、鮮明に表示されています。
※にゅるにゅるの型取りは一切行っていません。
PCの画面上で、1番目の歯を理想的な形に設計しました。
削り終えた2本目の歯をセレックを使ってPCにスキャンしたところです。
歯の形が鮮明に表示されています。
PCの画面上で、2番目の歯を理想的な形に設計しました。
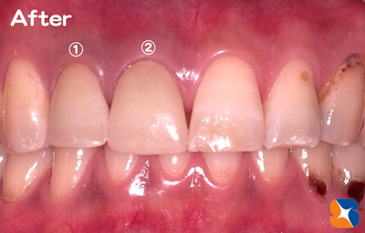
設計を終えた①と②の歯を、歯科分野のCAD/CAM装置を使用し、セラミックブロックを削り、オールセラミックの歯が仕上がりました。次に、細かな色付けを付け加え、周囲の歯のカラーに統一させていきました。その結果、本日無事に完成することが出来ました。勝利のスマイル、とても楽しみです。更なるご活躍を願う次第です。
元気・やる気・Dr.鈴木のコラム
2017/1/25
競輪選手のスマイルを応援します。











