奈良より20代の女性。主訴は「保険で入れた接着製のブリッジの色が気になる。神経を残したまま、セラミックのブリッジに変えられますか?」でした。
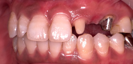
レントゲンで確認すると、犬歯が歯茎に中で斜めに横たわって埋もれている事が判明しました。
Dr:「1本歯少ないので、ブリッジになったのですね。矯正医(Dr長屋)とも相談しましたが、埋もれている犬歯を外科手術&矯正の力で生えさせられる確立は50%と診断しました。安全策として、神経を残したままの“ブリッジ治療”でいきましょう!」
早速、保険のブリッジを除去したのち、神経を残すことを考慮した削り方を終えました。
お口の中をセレックカメラを使って撮影をし、PCに読み込ませます。
PCの画面上で、患者様の口元にふさわしい自然な形体のブリッジを設計いたします。
切削器が、オールセラミックのブロックをブリッジに変え削りあげます。その後、Drが細かな形の修正を行い、色合わせも事前に撮った写真を見ながらに忠実に仕上げていきます。その結果、写真のようなオールセラミックの3連結ブリッジが完成いたしました。患者様にもとても満足していただきました。
※高さ、窮屈さ、緩さ、白色の強弱などは、来院時に修正を行いますので、無駄に来院回数が増えることはございません。
今年も一年間、ありがとうございました。私なりに一生懸命歯科医療に取り組んできたつもりです。来年は、歯科恐怖の方々をもっともっと快適な治療へ導けるように努力します。
また、私も加わって制作している(株)メディアの患者様説明用ソフト“Newビジュアルマックス”もいよいよデビュー予定となっています。仕上がりを楽しみにしていて下さい。
最後に、支えてくれたみんな、ありがとう!来年もよろしくね。
H28.12.31 鈴木雅智
元気・やる気・Dr.鈴木のコラム
2016/12/31
最終回はブリッジで来年への架け渡し











