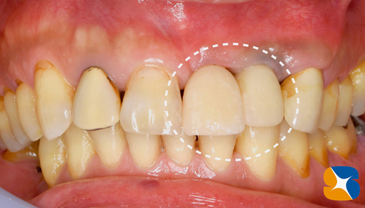
大阪市内より20代の女性。主訴は「2ヶ月前、左下の歯を抜いた。麻酔が効いていないのに抜歯を続けられた。
歯のない所はインプラントにしようと思っている。前歯も綺麗にしたい。痛みや怖いのはゴメンなので、静脈麻酔鎮静で治療をしてもらいたい。」でした。
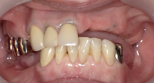
左下のインプラント予定部。
切開して開けてみると、2ヶ月前の抜歯跡が見受けられた。しかし
当院では骨の再生治療をインプラント移植時に同時進行で施しているので、全く問題はありません。
骨のない所に人工骨のβ–TCPを添加して、本物の骨に置換するのを待ちます。
左下の施術終了。
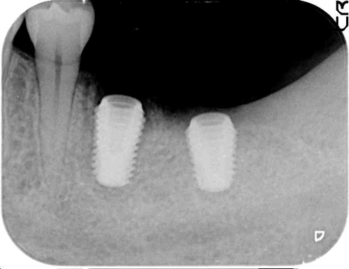
左下のレントゲン。
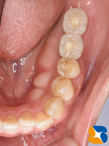
施術より3ヶ月後、インプラント完成。
続いて右上の施術開始。
30分程で施術完了。
右上のレントゲン。
施術から3ヶ月後、インプラント完成。
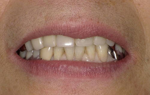
適合の良くなかった前歯もセレックを使って、オールセラミックスに順次やり変え。
患者様「想像以上に綺麗になって嬉しい。インプラントの2本も本当に違和感なくよく噛める。
歯医者さんは怖くて大嫌い⁉︎だったけど、こんなに自分が頑張れるとは思わなかった。先生やスタッフの皆様には本当に感謝しています。
結婚してからも、実家に帰ってくるときはメンテナンスに来ますね。
ありがとうこざいました。
Dr:「良かったです。限られた期間で、結果を出さなければならなかったのでちょっと大変だったかな?お幸せにして下さい。」
元気・やる気・Dr.鈴木のコラム
9/1 ブライダル近づき 美容歯科クリニックを検索(インプラント.セレック)
カテゴリ:Dr.鈴木日記 インプラント 静脈麻酔鎮静法 骨の最新再生医療
7/24 嚥下障害で悩むナースの決断
カテゴリ:Dr.鈴木日記 インプラント 骨の最新再生医療
奈良市在住、23才の看護師。主訴は「嚥下がキツくて自分で歯磨きをしていてもえずく。2年前に奥歯が痛んだので神経を抜いてもらったが、治療時のえづきと涙が苦しすぎて放置していた。
そのボロボロに砕けた奥歯が激しく痛んできた。
ネットで探してスズキ歯科にきた。助けて欲しい」でした。
Dr:「了解いたしました。静脈麻酔麻酔鎮静法を用いて、砕けた奥歯の抜歯とその奥の親知らずの抜歯をしましょう!
そして1本だけインプラント移植を同日に行って一日で全てを完了させたいと思います。」
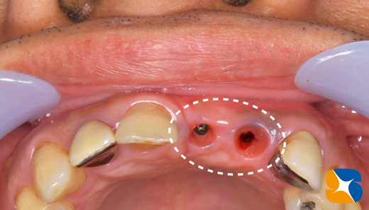
奈良の歯科医で型取りをしたまま治療放置。根の先には黒い影が発生して、大きな腫瘍が生じていると思われました。
抜歯直後の状態。激痛の原因となる腫瘍が摘出されました。
更に奥には横向きに生えている親知らずの歯を確認。
これも続けて抜歯しました。
横向きに生えていた親知らずも静脈麻酔麻酔鎮静法の中、スムーズに抜歯が出来ました。
ノーベルバイオケア社製のアクティブ直径5㎜、長さ11.5㎜を移植完了。
型取りまで2ヵ月待ちます。
インプラント移植直後の状態。周囲の骨は抜歯の影響で、スカスカ空洞があります。
吸収性の人工骨に患者様御自身の血液で製作したコラーゲンとフィブリンの塊を混ぜて、不足している
骨の部分に添加しました。
コラーゲンの塊をシート状に圧縮して確実な骨の再生を促します。
当院でインプラント施術を受けられる方には、一連の作業は無料でおこなっています。
インプラント移植から3ヶ月後の状態です。かなりの早い回復力です。
無事にインプラントが完成いたしました。
嚥下が激しいので、治療のある毎に静脈麻酔鎮静法を使用いたしました(これも全て無料)。
インプラントの歯がしっかり噛むことが出来てとても満足さrています。
ありがたいことに職場の病院の先生やスタッフもその後当院を紹介で訪れて下さっています。
※ほぼ毎日のようにこのような難しいインプラントの施術を静脈麻酔鎮静法の中で、患者様に負担をかけずに
おこなって喜ばれています。
5/15「この前やったインプラントが揺れて噛めない!」
カテゴリ:Dr.鈴木日記 インプラント 静脈麻酔鎮静法 骨の最新再生医療
奈良市学園前より50代の主婦。電話にて「2年前に入れてもらったインプラントが動いているような気がする。気になって噛めない。」でした。
レントゲンCT画像分析の結果、動いているのはインプラントの1本手前のご自身の歯牙であることが判明しました。
上記は、おそらく根が割れているのでは?と思われるレントゲン画像です。
抜歯の結果、根は真っ二つ割れ、根の先端には大きな膿の腫瘍が骨を溶かしている良くない状態でした。
患者様は、迷わずインプラントを選択されました。抜歯と同時にインプラントの移植と自己血液を用いた骨の造成再生術を行われました。
腫瘍が骨を大きく溶かしていましたので、欠落した部分にCGFに人工の骨を混ぜ合わせ、骨の再生をインプラントの移植と同時に試みました。
手術直後の状態です。
患者様は静脈麻酔鎮静法(無料)を受けながらの施術でしたので、手術中の記憶は殆ど無かったとのこと。
上手くインプラントの施術が完了いたしました。
3ヵ月後には仮歯が入る予定です。
仮歯で1ヵ月ほど試しに使っていただきます。違和感もなく慣れてきたころにセラミック素材の歯に変えます。
写真は色のチェックです。
手術後から4ヵ月が経ちました。
最初の電話で「インプラントが揺れている!」と聞いて驚きましたが、再度またしっかり噛めるようになって喜ばしい限りです。
12/31 我武者らに駆け抜けた2020を12月のインプラント施術で振り返る
カテゴリ:Dr.鈴木日記 インプラント 静脈麻酔鎮静法 骨の最新再生医療
Case1
12/1 アメリカ在住60代の男性。主訴は「コロナで日本に帰国中。入れ歯が痛くて噛めなくなってきた。何か怪しい気がする。妻の知り合いの紹介でここに来た。再生医療をインプラントに取り入れておられるので、何かあった時に安心感がある。むこうでは、インプラントは無理と言われたので入れ歯で我慢している。」
自己血液を使ってCGFを院内で製作します。これを骨に表面に張って骨の強化を図ります。
年末の状態。かなりのスピードで歯肉が回復しています。5ヵ月後にはインプラントの移植を行う予定です。
Case2:12/5 東大阪市より40代の女性。母の勧めでここに来た。大学受験で頑張っている息子をみて、自分も大嫌いな歯の治療にトライしようと思った。金銭的なこともあるので、5ヵ月前に抜いた奥歯に1本のインプラントをお願いしたい。
Case3:12/8 東大阪市より70代の女性。主訴は「娘の紹介で来た。待合い室で待っていると怖さと緊張で具合が悪くなり今も帰りたいが、奥歯にしっかり噛める歯が欲しい。点滴で寝ながらなら、怖がりの私でもインプラントが出来そうな気がして…」
切削器具を使わずでこの状態。
直径が8㎜以上があるレスキューインプラントを使用することに。
使用インプラント:メガジェン社製のAnyRighe 直径8㎜、長さ10㎜
Case4:
東大阪市の70代の女性。主訴は「先生に3年前に作ってもらった入れ歯と一緒に歯が抜けた。以前からグラグラしていて痛みもあった。息子も先生にしてもらったインプラントが調子が良いとのこと。長いこと柔らかいものしか噛んでいない。以前に通っていた先生には『骨が薄くてインプラントは全く無理』と言われたので諦めていた。年が年ですが、私はインプラント、出来ますか?」
【下4枚は3年前の写真】
前歯をセレックを使用して全てキレイにやり変えました。
金具の見えない保険の入れ歯を用意しました。
2020.12/11施術
6本のインプラントが無事に移植されました。
3ヵ月後に型取りをしていく予定です。
Case5
12/15 生駒市より40代の女性、音楽の教師。主訴は「歯が2本、グラついている。膿やすい体質で、今も2カ所で歯肉が腫れている。音楽仲間の紹介で来た。入れ歯は嫌なので、それ以外で良い治療があればお願いしたい。」
人工の骨とフィブリンを混合塊になったものを、歯を抜いたところに充填。そして、フィブリンを圧縮したもので穴を閉じました。5ヵ月後に、同じ部分にもう1本インプラントの植立予定。
Case6
12/17 八尾市から30代の女性。主訴は「歯医者が大嫌い。虫歯の痛みが出てきても薬でしのぐけど、
最近口臭が気になる。そろそろ歯のない奥歯をなんとかしたい。ママ友の紹介で来た。」
抜歯して、膿の袋を徹底的に排除してから、その日のうちにインプラントを植立させました。
2ヵ月後には型取りの予定です。
今年は医療人にとって本当に辛い一年でした。
人の心に感じたことのない薄暗い影を感じながら、治療にあたってきました。
コロナ対策をどれだけ施していても不安に感じるスタッフと共に日々戦わなくてはならなかった2020。
それでも多くの患者様が当院を頼って、私を頼って来てくださいました。感謝です。
来年度も鈴木歯科医院の成長を楽しみにしていて下さい。ガッツ!鈴木
11/ 1 点滴で寝ながら安心手術〜無理と言われたインプラント達④奥歯
カテゴリ:Dr.鈴木日記 インプラント 歯科全般 静脈麻酔鎮静法 骨の最新再生医療
東大阪市50代の女性会社員。主訴は「右の奥歯が浮いた感じで固いものが噛めない。会社の近くの歯医者で抜歯の必要性がある事を告げられた。入れ歯だけは嫌。」
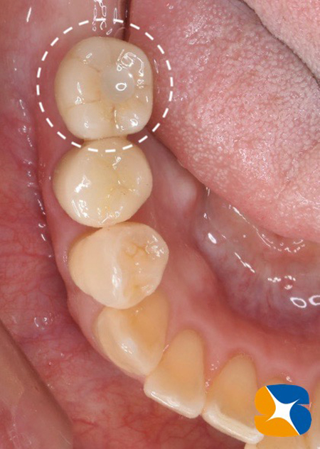
診査診断の結果、右上1本、右下2本、計3本の抜歯の必要性がありました。
ただし、抜歯予定以外の歯にもかなり歯周病が進行しているので、歯石除去を中心とした歯周病治療も同時に進めることになりました。
3本の抜歯後に、インプラントを右下にだけ1本移植することになりました。
※右上の奥歯は抜いたまま何も入れないことになりました。
右下の一番の奥歯を抜歯した状態です。根の先には予測通り、大きな良性腫瘍が付着していました。
これにより、この腫瘍と同じ大きさ分の骨が根の先から失われていました。
本日は、1本半の抜歯のみを行いました。
半分残した歯の部分には、2ヶ月後にインプラントを移植します。
今回は、人工の骨を入れずにCGF(ゲル状のフィブリン)のみを抜歯痕に挿入しました。
抜歯から2ヶ月後の状態です。驚異的なスピードで歯肉が回復しました。
この日まで残しておいた残り半分の奥歯を抜歯しました。
この場所に寸分の狂いのないように、インプラントを慎重に移植します。
上の歯との噛み合わせを考慮して、適切な位置にインプラントを移植しました。
抜歯から5ヶ月、インプラントの移植を行なってから3ヶ月後の状態です。
元々銀歯であったインプラントの手前の歯もオールセラミックに変更しました。
このオールセラミックは、セレックを使用して私自身が一から制作したものです。
〈患者様の声〉
他の医院からの見解として
「骨が無くなり過ぎてインプラントは無理!」
「3回の手術が必要。インプラントが完成するのに1年かかる。」
「寝ながらの手術は先生の出張費が必要なので、余分に7万加算です。」などなど。
最終的に、遠方ではあるが同僚の勧めでここを選んだ。
入れ歯も覚悟していただけに、本当に良く噛めるし、綺麗な口元にも変えて頂いて嬉しい。
手術も覚えていない間に終わったし、これならまた他が悪くなっても「やれる!」と思える。
治療費も良心的でとても良かった。
一緒に喜んでくれている主人もまたお世話になりますので、宜しくお願いします。
9/21 点滴で寝ながら安心手術〜無理と言われたインプラント達③前歯
カテゴリ:Dr.鈴木日記 インプラント 静脈麻酔鎮静法 骨の最新再生医療
大阪市内より50代の男性、大学講師。主訴は「7年ほど前にやり替えた前歯のブリッジが根っ子から割れてしまった。何度か腫れて、強く噛みしめると違和感がある。かかりつけ医では、『割れた歯を抜歯した後、インプラントを入れると完成まで2年は要る。費用もたった1本で80万くらいは必要。また、その隣の元々歯のない所は、骨が退化して薄くなっているのでインプラントは無理。貴方の場合は、6連結のブリッジ(60万)か金具のない入れ歯(30万)しかない』と言われた。」でした。
Dr:「確かにブリッジが原因で、歯根にヒビが入ったり割れたり、根の先に膿が出来たり、歯がグラグラするなど、拝見しない日が無いくらいブリッジのトラブルは後を絶ちません。
当院は、骨の再生に特化した施術と経験がありますので、如何なる骨の状態であっても良い結果を出せています。
再び大型ブリッジを行なって、この先今より前歯がなくなってしまうことを考えると、私はインプラント治療の選択をされても良いのかなと思います。
患者様は6連結のブリッジを避け、2本のインプラントを選択されました。
歯肉をはく離すると、歯根は2分折されていました。同時に周囲の骨も大きく衰退していました。
また隣の歯のない部分の骨は、かなり菲薄していましたので骨幅を2倍に増幅させたのち、インプラントを
移植することにしました。
折れた根を抜歯すると、根の先には大きな腫瘍が強固に付着していました。
かなり以前から、噛み合わせによるブリッジのトラブルが生じていたことが伺えます。
〈向かって左〉
インプラントの植立後、骨の不足している所には、自己血液を用いた骨の再生治療でバックアップします。
〈向かって右〉
骨の厚みを2倍に増幅させる「骨幅拡大手術(スプリットクレスト法)」を行なってからインプラントを移植した後、骨の厚みを確実にするために骨の再生治療も同時に行いました。
使用インプラント:ノーベルバイオケア社製 アクティブ直径3.5㎜ × 長さ13㎜ と 直径4.3㎜ × 長さ11.5㎜
動物由来ではない人工骨(βーtcp)と患者様自身の自家骨を融合させた骨を用いてインプラント移植した周囲穴部に補填します。
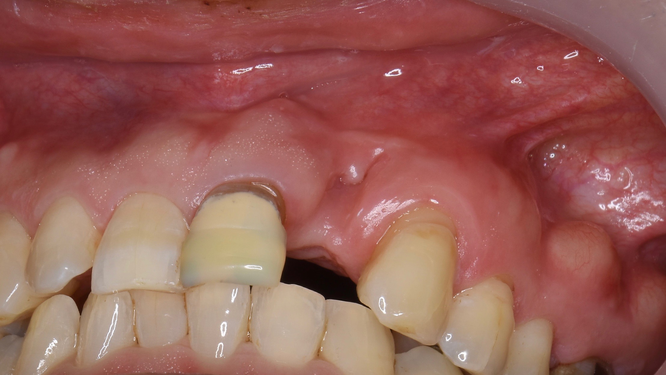
施術より2ヶ月後の状態です。これより、仮の歯を入れるための型取りを行います。
施術から3ヶ月後の状態です。しばらくの期間、前歯の歯肉の左右均等を目指し、仮歯を調節して、歯肉に圧を加減させながら高さをコントロールしていきます。
施術から5ヶ月後。
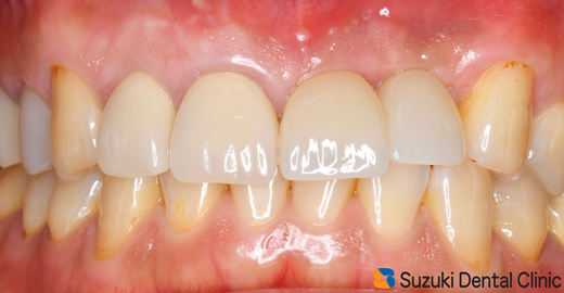
本日無事に仮歯からセラミックの歯に入れ替えて、完成しました。
〈患者様の感想〉
・ブリッジを入れててこんな目に遭ったのに、またブリッジにしていいものか?
かかりつけの先生への返事に困っていたところに、痛みと腫れが再発してきたので正直焦っていました。HPで最新のインプラント治療を探しまくりました。
インターネットのない時代なら、おそらく私は言われるがままにブリッジや入れ歯をされていて、老後は総入れ歯になっていた可能性もあります。
ブリッジには昔からコンプレックスがあったので、全てが改善されて本当に感謝しています。
今は1日に何回もインプラントの掃除を行なっています。
〈Dr〉前歯のインプラントは正直難しいです。
良い条件の骨質状態でインプラントの施術を行う事などまずありません。
歯肉と共に骨も衰退している。
骨の厚みが5㎜しかない。
ブルーベリーサイズの骨の陥没が移植予定の中間地点にある。
などなど様々な難所が必ず待ち受けています。
与えられた骨にインプラントを上手く移植して、骨としっかり固定させるのは、至難の技です。
インプラントを移植した位置が、出来上がった前歯の裏側の中心にネジ穴がくるような設計でなければなりません。
結果が全ての世界ですので、上手く噛めていると喜んでもらえて、私も嬉しい限りです。
参考:
静脈麻酔鎮静法は無料。
人工骨の増幅¥35,000×2、
インプラント¥350,000×2,
手術代¥15,000、
仮歯¥10,000×2
8/31 点滴で寝ながら安心手術〜無理と言われたインプラント達②奥歯
カテゴリ:Dr.鈴木日記 インプラント 歯科全般 骨の最新再生医療
尼崎市の40代の女性。主訴は「強い歯ぎしりが原因で、2カ月前に抜歯をした。傷口も治ったのでセラミックのブリッジ(3連結)にする予定だが、残りの奥歯が噛むとまだ違和感が続いている。この状態でブリッジをしても大丈夫なのか?セカンドオピニオン的に現状を診て欲しい。」でした。
早速CT撮影すると、奥歯の根の先に大きな黒い影を確認しました。
根の先に大きな膿の袋があるため違和感が続いていると思われます。
角度を変えてみてチェック。
やはり、歯の根のお薬交換だけでは違和感を抑えられない程の膿の袋(腫瘍)が確認出来ました。
この状態でブリッジを入れるのは厳しく、抜歯の必要性があることをお伝えしました。
膿の袋がますます大きくなることを避けるために抜歯を行い、
しっかり噛めるようにインプラント治療をされることを提案しました。
〈写真〉CT画像で予測したままの膿の袋が根の先に付着していました。
抜歯をした後の部分は、大きなホラ穴のようになっていました。
この部分にインプラントと骨の移植をこれから同時に行います
動物由来ではない人工骨(βーtcp)と患者様自身の自家骨を融合させた骨をインプラント移植した周囲穴部に補填しました。
インプラントの移植と骨の再生治療が無事に終わりました。
これから3カ月後に型取りの予定です。
仕様インプラント:HI Ossen 直径4.5㎜と5.0㎜、長さは11.5㎜を使用しました。
※このメーカーは、骨の欠損状態に合わせてありとあらゆるサイズのインプラント本体を用意しているところが特徴です。
骨質の硬くない日本人にはとても相性が優れています。
手術中のあらゆるトラブルに対して随分助けもらっています。
手術から3ヶ月後の型取り前の状態です。順調に仕上がっています。
手術から4ヶ月。無事にセラミックの白い歯をセッテング出来ました。
〈患者様の声〉
「あのままブリッジにしていたら、痛みや腫れや保証金の有無で悩んでいたと思います。
正直、他院でもインプラントの見積もりをしてもらいましたが、鈴木先生のところよりも2倍近い見積書を提示されたところもありました。
寝ながらの点滴代や骨の再生医療費に別料金を支払うこともなく、本当に感謝しています。
スタッフの方からの優しい電話やお声かけにも安心できました。」
〈Dr.鈴木〉
「お口が大きく開けれないのにもかかわらず、頑張ってくださいましたね。点滴で寝ながらの施術でしたので記憶こそないかもしれませんが、かなり顎はしんどそうでしたよ。今までと同じ様に好きなものを何でも噛んでもらえるようになって良かったです。」
8/5 点滴で寝ながら安心手術〜無理と言われたインプラント達①奥歯
カテゴリ:Dr.鈴木日記 インプラント 静脈麻酔鎮静法 骨の最新再生医療
〈3年前のレントゲン〉
今年の4月、海外勤務の50代の男性。主訴は「3年前に鈴木先生に『抜歯になるかな?』と言われた奥歯を1本は海外で抜いた。
残りの1本は、銀歯がとれて、根が割れたまま放置している。今コロナの影響で日本に帰国。3ヶ月後にはまた戻らなければならないと思うが、それまでにインプラントを終わらせたい。しかし、知り合いの歯科医に診てもらったら『かなり骨が溶けていて1年位はかかるのと違うか?』と言われた。
奥歯が2分割された状態。
抜歯した跡の骨穴には、腫瘍である肉塊がはびこった状態でした。
長時間をかけて肉塊を除去すると、大きなホールになりましたが、点滴しながらの手術を行っていますので
骨の再生治療を行いながらのインプラント移植を行いました。
〈使用インプラント〉インプラントの直径が3.0〜7.0㎜までかなり豊富なラインナップを用意しているHIOssenn:Mede in USAを2本使用しました。
動物由来ではない人工骨(βーtcp)と患者様自身の自家骨を融合させた骨をインプラント移植した周囲に補いました。
手術を行ってから3ヶ月後の状態です。
セラミックの被せ物が装着され無事に完成しました。
※入れた人工骨はいつまでも残るわけではありません。年月をかけて天然の骨に置き換わっていきます。
※治療総額:静脈麻酔鎮静法(無料)とCGF製作&使用(無料)と仮歯2本(2万)を含めて総額820,000円(税別)











