奈良市学園前より50代の主婦。電話にて「2年前に入れてもらったインプラントが動いているような気がする。気になって噛めない。」でした。
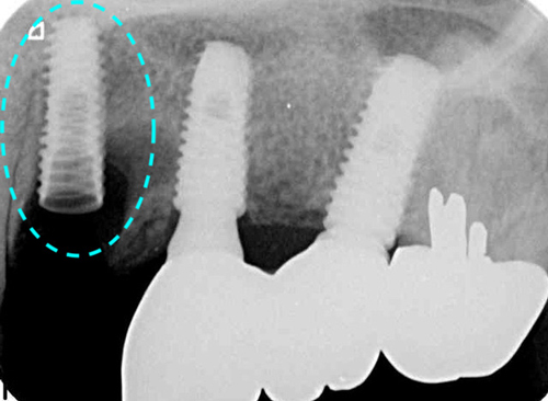
レントゲンCT画像分析の結果、動いているのはインプラントの1本手前のご自身の歯牙であることが判明しました。
上記は、おそらく根が割れているのでは?と思われるレントゲン画像です。
抜歯の結果、根は真っ二つ割れ、根の先端には大きな膿の腫瘍が骨を溶かしている良くない状態でした。
患者様は、迷わずインプラントを選択されました。抜歯と同時にインプラントの移植と自己血液を用いた骨の造成再生術を行われました。
腫瘍が骨を大きく溶かしていましたので、欠落した部分にCGFに人工の骨を混ぜ合わせ、骨の再生をインプラントの移植と同時に試みました。
手術直後の状態です。
患者様は静脈麻酔鎮静法(無料)を受けながらの施術でしたので、手術中の記憶は殆ど無かったとのこと。
上手くインプラントの施術が完了いたしました。
3ヵ月後には仮歯が入る予定です。
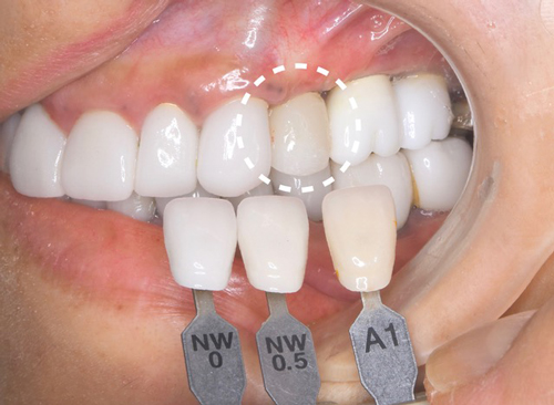
仮歯で1ヵ月ほど試しに使っていただきます。違和感もなく慣れてきたころにセラミック素材の歯に変えます。
写真は色のチェックです。
手術後から4ヵ月が経ちました。
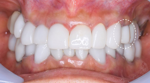
最初の電話で「インプラントが揺れている!」と聞いて驚きましたが、再度またしっかり噛めるようになって喜ばしい限りです。
元気・やる気・Dr.鈴木のコラム
2021/5/27
5/15「この前やったインプラントが揺れて噛めない!」











