小学6年生。主訴は「以前、前歯をぶつけて割れた。他院で欠けた部分に樹脂(レジン)を詰めてもらった。最近、ズキズキと痛い」
Dr「歯面を顕微鏡で確認するとヒビが入っています。痛みをとるためには神経を抜く必要があります。欠けた部分は、後ほど対応をします」 続きを読む
元気・やる気・Dr.鈴木のコラム
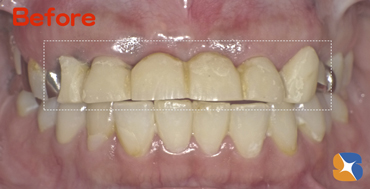
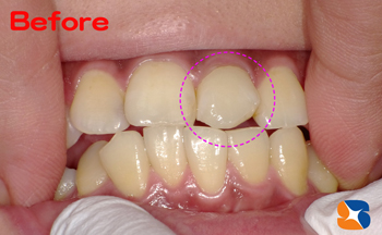
最先端Newセレック治療(2)
カテゴリ:審美 歯科全般
最先端Newセレック治療(1)
カテゴリ:審美 歯科全般

小学生。夏休み終盤の8/29。主訴は、上の奥歯「学校検診で虫歯が見つかった。最近、甘い物を食べると痛い。遠方のため、早く終わらせたい」でした。
更に「以前、下の奥歯に銀歯を詰めた時、しばらく痛みが続いたので、今回は痛みの少ない(素材の)詰め物でお願いします」が親御様からの要望でした。その結果、セラミックの詰め物を装着することに決まりました。
セラミックなら金属と異なり、熱が伝わりにくいため、冷たさや熱さに対して痛みが少ないからです。また、院内でDr自身が製作するため、噛み合わせを考慮したセラミックの詰め物が、治療開始から2時間後には治療が終わっていることもメリットの一つです。
※治療費:旧価格¥45,000→新価格¥40,000
白い歯セラミック¥30,000に値下げ
カテゴリ:お知らせ 審美
4月1日より第一小臼歯と第二小臼歯(前から4番目と5番目=下記図を参照)のセラミックの詰め物の価格を改正しました(旧価格¥47,250円(5%税込み))。
セラミックの詰め物は(1)不変色で(2)強度がある、ことが特長です。
先進医療器機を使用して院長自らが修復物の設計、製作をおこないます。
「良心的な価格で、自然な口元をより多くの方と共感したい」という思いから、価格も大幅に改正いたしました。
※小臼歯New¥32,400(8%税込み)
※大臼歯New¥44,000(8%税込み)
詳細につきましては、スタッフまでお問い合わせ下さい。
【よくある質問】
30,000円のセラミックとは、小さな詰め物を装着する場合です。下記の症例写真を参考にして下さい。大きく被せなければならないケースは、一律¥70,000です。(前歯から奥歯まで)

保険の前歯ブリッジ 悩み相談(3)
カテゴリ:審美 歯科全般
他院より70代の男性。主訴は「前歯のブリッジが割れて、唇に引っ掛って痛い。もう修理はやめて、一からやり換えて欲しい。頼みます」でした。
Dr「分かりました。古いブリッジを外し、土台となる歯をきっちり手直し(補強)してから仕上げていきます。多少期間がかかりますが、御了承ください」 続きを読む
保険の前歯ブリッジ 悩み相談(2)
カテゴリ:審美 歯科全般
20代の女性。「前歯をぶつけた。引っ越し先で治療を受けていたが、仮歯は変な形をしてるし、しょっちゅう外れるので出来上がりが不安。また先生に治して欲しい」でした。
Dr「ブリッジの仮歯はとても重要ですので、絶対に私が一から作ります。仮歯は手抜きで本番だけが良い結果がでる、なんて事は考えにくいからです。一回あたりの時間と完成期間は頂戴しますが、必ず良い結果がでるように努めますので頑張っていきましょう!」 続きを読む
保険の前歯ブリッジ 悩み相談(1)
カテゴリ:審美 歯科全般
奈良から50代の女性。主訴は「前歯のブリッジがよく外れる。またグラグラしてきたので、やり直して欲しい」でした。
Dr「外れにくい形に歯を削り、きっちりと型取りを行い、試作しながら完成させます。満足して頂けるように頑張ります」
ブリッジ治療は、単独1本の治療に比べ難しい要素が複合します。取れる、外れる、割れるには、医院側が原因である事のほうが多いと、私は認識して慎重に治療を進めています。
黄色の素材は、シリコン印象材と申します。保険の治療では、まず使われることのない高額な材料を当院では、ごく普通に使用しています。
(保険治療ですので患者様が材料代を負担するわけではありません)
型取りの際、歯と歯茎の境目がしっかり区別できていなかったり、出血がしやすい状態でこのような優れた材料を使用しても良い結果はでません。
保険の治療またはセラミックの自費治療に関係なく、時間を費やし、材料に投資をすることで「長くキレイにもつ前歯のブリッジ」に辿り着くと私は考えています。前歯のブリッジでお悩みの方、是非お尋ね下さい。
徹底した管理で最上質の技工物を作る
カテゴリ:審美 歯科全般
「詰めたばかりなのに…被せてもらったところなのに…どうしてまた虫歯になるの???歯磨き、言われたように一生懸命やってるよ!」
これは,自分では見えないお口の中を医院に任せた患者様の声(気持ち)です。虫歯の治療をした所が、また悪くなる…。原因は色々考えられますが、少なくとも医院側が原因を作らないように当院では2つの過程をこだわっています。 続きを読む
CAD導入でセラミック価格ダウン(4)
カテゴリ:審美 歯科全般
70代の女性。主訴は「前歯を2カ所、綺麗にしたい」でした。
A)詰め物の変色
B)被せ物の変色が認められました。
A),B)共にメタル不使用の白いセラミック(オールセラミック)を装着しました。 続きを読む
CAD導入でセラミック価格ダウン(3)
カテゴリ:審美 歯科全般
30代の女性。天気、雨。主訴は「階段で転けて、歯が折れた。しみて痛い。見た目も悪いのでなんとして欲しい」でした。
Dr「A)欠けた部分に樹脂を張り付けて修復するか、B)歯を大きく削って(=写真左=)全体を覆ってしまうか、悩むところです。 続きを読む
CAD導入でセラミック価格ダウン(2)
カテゴリ:審美 歯科全般
30代の女性。「治療後の詰め物には、銀ではなく、白いセラミックにして欲しい」でした。
虫歯の部分を確実に取り除き、型取りをした後、セレック(CADキャド)を使ってセラミックの製作を行いました。
セレックで精密に製作された2カ所の詰め物は、いずれもピッタリフィット。色彩も自然な色合いで、患者様から「どこに詰めたか分かりませね」と喜んで頂くことが出来ました。
続きを読む











