70代の女性。主訴は「前歯を2カ所、綺麗にしたい」でした。
A)詰め物の変色
B)被せ物の変色が認められました。
A),B)共にメタル不使用の白いセラミック(オールセラミック)を装着しました。
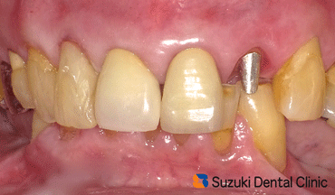
完成直前の状態。
このような金属の芯(=写真左=)に、器械で削り出したセラミックの被せを装着します。
〈パソコンで作ったセラミックの特長〉
型取りから、次の日に完成可能。つまり
●出張からの一時帰宅
●里帰り
●海外へ出発直前の方などにも最適です。
費用)旧価格¥82,400(5%税込)→新価格¥75,600(8%税込)
でした。
※新価格は、院長が製作したCAD/CAM冠セラミックに限ります。
特殊な色や複数連結を有するセラミックに関しては、今まで通り歯科技工士に委託するため、従来価格¥86,400(8%税込)/1本となります。
元気・やる気・Dr.鈴木のコラム
2014/5/11
CAD導入でセラミック価格ダウン(4)











