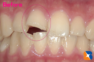
30代の女性。天気、雨。主訴は「階段で転けて、歯が折れた。しみて痛い。見た目も悪いのでなんとして欲しい」でした。
Dr「A)欠けた部分に樹脂を張り付けて修復するか、B)歯を大きく削って(=写真左=)全体を覆ってしまうか、悩むところです。
それぞれの治療に長所、短所がありますので、その内容を下記に列挙しますね。
●B)歯全体を削るのが欠点ではあるが、前歯を理想的な形にチェンジ出来る。
●A)張り付け樹脂は、割れたり、欠けたりする。
●A)張り付け樹脂は、変色や着色がおこる。
●B)金属不使用(セラミックのみ100%)のセラミックですので、神経に対して刺激が少なく、安全です。
その結果、患者様はB)のオールセラミックを選択され、事故をした次の日にセラミックを納品、装着いたしました。
費用)旧価格¥82,400(5%税込)→新価格¥75,600(8%税込)
でした。
※新価格は、院長が製作したCAD/CAM冠セラミックに限ります。
特殊な色や複数連結を有するセラミックに関しては、今まで通り歯科技工士に委託するため、従来価格¥86,400(8%税込)/1本となります。
元気・やる気・Dr.鈴木のコラム
2014/5/3
CAD導入でセラミック価格ダウン(3)











