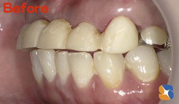
20代の女性。「前歯をぶつけた。引っ越し先で治療を受けていたが、仮歯は変な形をしてるし、しょっちゅう外れるので出来上がりが不安。また先生に治して欲しい」でした。
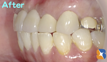
Dr「ブリッジの仮歯はとても重要ですので、絶対に私が一から作ります。仮歯は手抜きで本番だけが良い結果がでる、なんて事は考えにくいからです。一回あたりの時間と完成期間は頂戴しますが、必ず良い結果がでるように努めますので頑張っていきましょう!」
ブリッジ治療は、単独1本の治療に比べ難しい要素が複合します。取れる、外れる、割れるには、医院側が原因である事のほうが多いと、私は認識して慎重に治療を進めています。
黄色の素材は、シリコン印象材と申します。保険の治療では、まず使われることのない高額な材料を当院では、ごく普通に使用しています。
(保険治療ですので患者様が材料代を負担するわけではありません)
型取りの際、歯と歯茎の境目がしっかり区別できていなかったり、出血がしやすい状態でこのような優れた材料を使用しても良い結果はでません。
保険の治療またはセラミックの自費治療に関係なく、時間を費やし、材料に投資をすることで「長くキレイにもつ前歯のブリッジ」に辿り着くと私は考えています。前歯のブリッジでお悩みの方、是非お尋ね下さい。
元気・やる気・Dr.鈴木のコラム
2014/8/21
保険の前歯ブリッジ 悩み相談(2)











