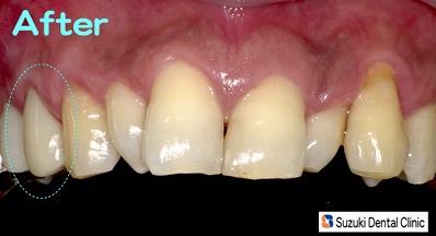
50代の男性。主訴は「タバコを吸うので前歯が直ぐ茶色になる。歯ぎしりもするので変色しない強いブリッジに変えて欲しい。HPを見て来た」
Dr「先端医療機器セレックを用い4本連結のブリッジを私が製作します。完成したブリッジの色、形、噛み合わせをチェックし、その場で形の修正、色の焼付けを行っています」 続きを読む
元気・やる気・Dr.鈴木のコラム
セレックで自作のセラミック・ブリッジ
カテゴリ:審美 歯科全般
先端医療!奥歯も保険で白い歯に(5)
カテゴリ:審美 歯科全般
※当院はCerecセレックシステムを導入しているため、急ぎの方なら2日間(月&火、木&金、金&土)の施術で終了できます。
※CAD/CAMブロックは3Mアルティメットを使用

先端医療!奥歯も保険で白い歯に(4)
カテゴリ:審美 歯科全般
50代の男性。主訴は「銀歯に物がよく詰まる」でした。銀歯と銀歯の隙間をチェック。銀歯をはずして、まずは歯肉炎を改善。
歯肉炎の改善を確認した後、保険の素材で白い被せを装着しました。自費治療のセラミック素材ではないため、色調には制限がありますが、シルバー色→ホワイト色のチェンジ出来たことに患者さんも満足して頂きました。 続きを読む
先端医療!奥歯も保険で白い歯へ(3)
カテゴリ:審美 歯科全般
50代の男性。主訴は「銀歯の中が黒くなってきた。10年ほど前に入れた」。昨年から保険でも奥歯を白くすることが可能になった事を説明した後、施術に取り掛かりました。
当院はCerecセレックシステムを導入しているため、急ぎの方なら2日間(月&火、木&金、金&土)の施術で終了できます。
※CAD/CAMブロックは3Mアルティメットを使用
先端医療!奥歯も保険で白い歯に(2)
カテゴリ:審美 歯科全般
40代の男性。物が詰まりやすくなった銀歯を取り外し、保険で白い歯を装着させて症状の改善を図る。
最先端の保険適用の白い歯は
●強度がある
●奥歯にも使用可能
●患者様負担額は1万円未満
が特長です。
当院はCerecセレックシステムを導入しているため、急ぎの方なら2日間(月&火、木&金、金&土)の施術で終了できます。
※CAD/CAMブロックは3Mアルティメットを使用
先端医療!奥歯も保険で白い歯に(1)
カテゴリ:審美 歯科全般
30代の再初診の男性。6年前に被せた銀歯が、昨年より強度のある白い被せ物(セラミックではない)の選択が可能になった事をスタッフが伝える(費用は約10,000円)。
笑うと目立っていた銀歯を白い保険の歯に変更された患者様。その結果、「いい感じですね」とにっこり笑顔の患者様でした。
※当院はCerecセレックシステムを導入しているため、急ぎの方なら2日間(月&火、木&金、金&土)の施術で終了可能。
綺麗になりたい深夜のセラミック治療
カテゴリ:審美 歯科全般
遠方より30代の男性。主訴は「運送業ですが、長年コンプレックスの前歯をキレイにしたい。タバコは吸う。コーヒーもよく飲む。長持ちの良い材質でお願いしたい」でした。 続きを読む
御結婚おめでとう!Cerec大活躍
カテゴリ:審美 歯科全般
京都市在住、20代の女性。主訴は「銀の詰め物が外れた。2週間後の結婚式の準備が忙しい。次回来院できるのは、結婚式の3日前になる」でした。 続きを読む
僕がセレック器機を紹介します。
カテゴリ:審美 歯科全般
最先端Newセレック治療(3)
カテゴリ:審美 歯科全般
大学院生。主訴は「上の奥歯がかなり痛い。10日後には一年間留学のためインドに出発する。直前ですいません」でした。
拝見すると、親知らずを含む奥歯3本がそれぞれ大きな虫歯になっていました。
早速、治療開始。親知らずは抜歯。残りの奥歯2本は、神経を抜く治療を行いました。左の写真は、出発3日前(治療回数4回目)の状態です。この状態ではまだ噛めません。 続きを読む













