大学院生。主訴は「上の奥歯がかなり痛い。10日後には一年間留学のためインドに出発する。直前ですいません」でした。
拝見すると、親知らずを含む奥歯3本がそれぞれ大きな虫歯になっていました。
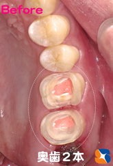
早速、治療開始。親知らずは抜歯。残りの奥歯2本は、神経を抜く治療を行いました。左の写真は、出発3日前(治療回数4回目)の状態です。この状態ではまだ噛めません。
〈写真左〉出発3日前
〈写真右〉出発2日前
出発される2日前、セレック器を使用して、セラミックの奥歯2本を製作&装着しました。
私自らが製作するため、噛み合わせもほぼ無調整で完了いたしました。
出発の前日、噛み合わせチェックのため来院していただきました。
「どうですか?」の私からの問いに、「問題なく噛めています。これで安心して出発出来ます。ありがとうございました」と笑顔の患者様。
セレックのお陰でわずか10日間で、セラミックの奥歯が2本完成したことに改めて、最先端医療技術の素晴らしさを感じています。
元気・やる気・Dr.鈴木のコラム
2014/10/3
最先端Newセレック治療(3)











