
余談になりますが、近鉄生駒駅と石切駅は隣同士の駅ですが、生駒山のトンネルを境に、東の「生駒駅」は奈良県、西の「石切駅」は大阪府に位置します。
ですので、わざわざ奈良から来て下さる患者さまも少なくはありませんが、この患者さまも生駒からお越しの患者さまのお一人です。
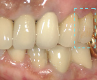
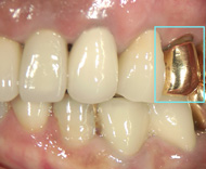
主訴は口元からチラリと見える金歯の色です。また金歯と歯茎との間にできた段差も少し気になるそうです。
金歯にできた隙間や段差は歯周病菌や虫歯菌の温床となりますので、まずは金歯を外すことをお話しました。
その後にかぶせる物については、大きく分けて3種類の選択肢があることをご説明しました。
1つ目は元と同じ金歯。2つ目は保険適用の銀歯。3つ目はセラミックの白い歯です。
噛み合わせのことを考えると、歯質に近い硬さの材質「金歯」がいいのですが、やはり口元から金属が見えます。また患者さま自身が「白い歯が希望」である事を優先して、このケースでは「セラミックのかぶせ物」で進めていくことになりました。まずは私の作った仮歯を装着して、しばらくの間は仮歯の上からブラッシングを頑張ってもらいました。
約1ヶ月後、健康な歯茎を確認した後、精密な型取りを行い、正確なセラミックのかぶせ物を装着することができました。
色、形ともに周りの歯とのバランスも良く、患者さまにも満足して頂けました。
遠方からの通院、お疲れさまでした。
<追記>「新石切駅」と「石切駅」は別の路線です。
元気・やる気・Dr.鈴木のコラム
2010/11/19
生駒からお越しの患者さま











