元気・やる気・Dr.鈴木のコラム

 2010/11/6 

インプラントのために抜歯する?
カテゴリ:インプラント 歯科全般 

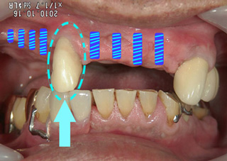
インプラントのために抜歯する? この1本を抜歯するか?それとも保存するか? 当コラムでは初登場の、インプラントのケースです。 11月早々に、インプラントの手術をおこなう患者さまのお口です。


濃いブルーのラインが、インプラントの予定位置です。
矢印で示すように、健康な前歯が真ん中に1本残っています。
インプラント治療の手術を行う場合、この残った歯は
型取りが、困難・複雑になる
この歯が歯周病になった場合、それが周りのインプラントに感染する
など、管理の難しい存在となります。

しかしこの歯を抜歯すると、さらに治療費がかかってしまいます。
それに何よりも「患者さまご自身の歯を、長く大切に使っていただきたい」と、私は思っています。インプラントのために、患者さまの健康な歯を抜歯することは、可能な限り回避したいのです。
そこで患者さまともご相談のうえ、この歯は抜歯せずに残すことになりました。

インプラントが完成するまでの間は入れ歯となり、この歯に入れ歯の金具を半年ほどかけます。その間の負担は大きく、弱った歯茎のままでは、せっかく残した歯がグラグラになる可能性があります。
インプラント治療の前に歯茎を強化するため、GBRエムドゲインの塗布をおこない、患者さまへの歯茎のブラッシング指導もおこないました。

これで準備は完璧です。次回は8本のインプラント手術にトライです。
来年の初夏には、「患者さまご自身の歯とインプラントとの共存」が果たせていることを願っています。