元気・やる気・Dr.鈴木のコラム

 2010/10/31 

ご結婚おめでとうございます。
カテゴリ:歯科全般 

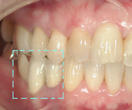
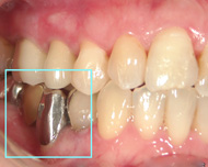
銀歯 矢印・次へ 審美セラミック

弟様の結婚式に、本日(10/31)ご出席されるとのことで治療を進めてまいりました。あまり日程の余裕はありませんでしたが、その中で治療計画に基づき、「セラミックのブリッジとオールセラミックインレー」をそれぞれ修復(10/25)しました。次回のメンテナンスと検診をお待ちしております。