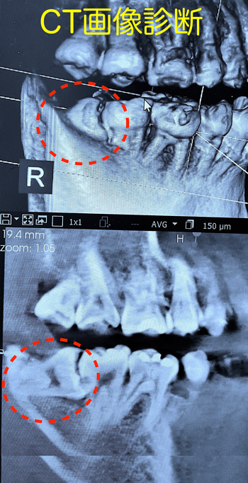
12月27日(土)今年最後の親知らずの抜歯。
モデルの方のため年末年始の休暇を使ってこの日を選択されました。
静脈麻酔鎮静法で寝ながら意識を無くして、難抜歯に取り組み出して早7年が経過しました。
これまでに、患者様のご意見で多かったものに
・保険料金では冷たく断られる。
・保険で静脈麻酔法を扱っているが、肝心の「抜歯が難しい」と言って断られた。
・麻酔科の先生を呼ぶため別途70,000円が必要と言われた。
・抜歯痕のドライソケット対応まではしてくれない。希望すると数万円を要求された。
・HPでうたっている内容と実態とではかなりの異なりがあった。
など多くの意見を受付で聞かせてもらいました。
同じ医療側の立場として、人件費、医療物資の高騰、働き方改革…など仕方がないのかもしれません。
しかし、当院では令和8年も【患者様ファースト】の精神にブレることなく、尖り続けていきます。
院長自らが、
率先して、
素晴らしい健康保険に、
静脈点滴麻酔を取り入れ、
ドライソケットも発症させないように、
最大限の配慮を続けて、
横向きの超難抜歯に、
トライして参ります。
インプラントや骨の再生治療時の静脈麻酔鎮静やブルーラジカルの無料化も継続していきます。

2025年も多くの患者様にご来院して頂きありがとうございました。
衛生士も引越し転医及び 産休&育休で戦力不足が生じていますが、人材紹介会社から数名を採用して回復させますので今しばらくお待ちください。
2026年も精一杯歩んでいきます。 院長
元気・やる気・Dr.鈴木のコラム
2026/1/1
1/1(木) 口コミ「静脈鎮静麻酔で難抜歯を保険で。鈴木歯科を選んで良かった理由は」











