初診が今年の1月。主訴は「痛みや腫れを繰り返すが、かかりつけ医では毎回麻酔をされて、歯茎を切って、お薬を出されるだけ。不信のため当院に来院。」
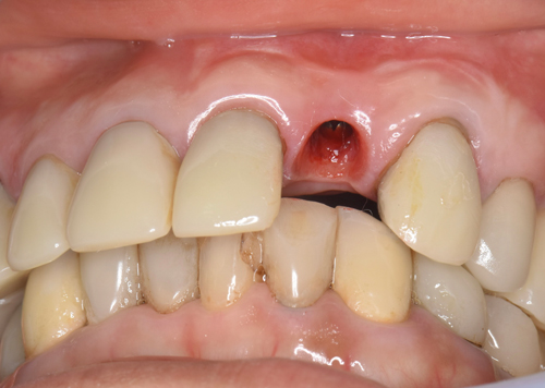
CT画像の診断結果、歯根破折による大きく骨の欠損及び腫瘍の発生。即抜歯を必要とする診断。
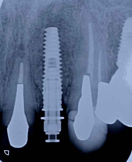
患者様はインプラントを選択され、抜歯から10ヶ月後の今月、無事にインプラントがセットされました。
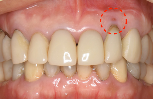
初診時、歯茎から出来物の腫れを認めます。これが1年以上続いているとのこと。
抜歯した歯根の先端には肉塊の腫瘍が一緒に付着していました。どんどん骨が溶けていく根源です。
腫瘍摘出ドリルで骨に付着している肉塊を徹底的にはく離させます。
唇側の半分がほとんど骨が失われていました。この状態からインプラントを移植して、不足している骨も同時に再生定着
させていきます。
増設した人工の骨をより定着させるために、血液から作ったコラーゲン膜を何層にも敷き詰めていきます(無料)。あとは仮歯を施して、骨が固定するのを6ヶ月間待ちます。
①抜歯と②インプラントの移植と③欠落した骨の再生の3つを1日で完結させました。通常なら2年近くかかる治療内容を当院では半分で終わらせる事に注力しています。
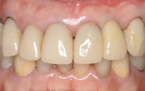
クリスマス前に届いた綺麗に仕上がった前歯をセット致しました。完璧な仕上がりに、とても喜んで下さいました。
今年は123名の患者様に静脈麻酔鎮静法を100%併用しながら(相場7〜10万の追加料金は当院では無し)、インプラント施術をさせていただきました。
今シーズンからインプラント手術者には「ブルーラジカル」を使用して(これも追加料金なし)、残った歯に歯周病対策も強化しました。
今年中に手術が出来なくて、かなりの患者様を1月以降にシフトさせていただいています。
更に、沖縄、富山、福井、滋賀からのホテル泊まりの遠方組も含まれていますので、自身の体調をしっかり整え、全集中で熱く取り組んでまいります。
来年度も引き続き、宜しくお願いします。 院長
元気・やる気・Dr.鈴木のコラム
2025/12/27
12/25 クリスマス set スマイル (インプラント)











