Before
型取り前
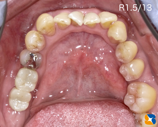
After
難症例でしたが、経過良好です。「固い物は何でもよく噛めるし、ゴルフでは飛距離が延びるようになった。人に自慢ばかりしている。今度は、うちの嫁も宜しくお願いします。」とのことで奥様も治療させて頂くことになっています。
※近々インプラントの施術予定
以下は1/13のブログ内容
昨年、市内より40代の男性。主訴は「数年前、歯周病が原因で奥歯がぐらついて抜歯をされた。今はほとんど右側でしか噛んでいない。最近、右側も噛むと痛くなったり、朝になると歯茎が痛い事もある。左下に何か入れないとダメだなって思っていたのでインプラントを考えている。痛いのと、怖いのが苦手でここを選んだ。」でした。
※写真は、口を開けた時、手術器具が入るかどうか検査中
アゴ骨が下まで下がり、舌の付け根とほぼ同じ高さまで落ち込んでいる。
手術が始まると、かなり舌の付け根の粘膜が手術部位を覆い塞いで視界を悪くして、難しい手術になることが予想されます。
難しいインプラント手術に備えて、手術前にドリル ポジションに寸分の狂いが生じないように、ステントガイドを用意します(追加料金なし)。欧米では、ごく普通に写真のような安全システムの下でインプラント施術が行われています。
2ヶ月間の歯周病治療を済ませて頂いた後、新春である今日、静脈麻酔鎮静法(無料)のもと、インプラント移植手術がスタート。写真は手術途中にレントゲンでチェック中。インプラントの予定移植位置にズレが生じていないかチェック。患者様にすれば、一生かかわる重要な問題なので、念には念を入れて手術に取り組むのは当然のことであります。
水色のゴムで舌を抑えこんでいないと、「インプラント施術部に舌下粘膜が巻き込んでくる」といった難しい手術もようやく完了しました。3方向(前方、側方、上方)から確認してインプラントの軸方向に問題がなければ仮り歯を装着して終了です。もし、微妙なズレが起こっていれば、撤去して、ドリル穴に修正を加えて再移植を行います。
※急なトラブルに対応できるように、特徴の異なる4種類のインプラントを使い分けて、万善な準備を整えています。
当院は、近畿厚生局から特定細胞培養加工施設の認可をうけています。作業として、患者様自身の血液を使ってフィブリンの塊(CGF)を無添加で加工し、それをドリル骨穴や骨の不足部、歯肉の切開部分などに充てがって使用します。
過去に当院でインプラント手術や横向きの親知らずを抜歯された方ならみな口を揃えて「今回は、楽やったわ〜!ドキドキしなかった!」とおっしゃられています。
最先端のインプラント施術を終えた患者様のレントゲン画像です。
〈患者様の声〉
・口を長時間開けてたので、アゴが疲れて最後の方だけ意識があった。それ以外は、まったく記憶がない。
・薬が切れてくると痛みだすが、痛み止めを飲めば治る。腫れも殆どなかったし、仕事も直ぐに復帰できた。
・永年ビビっていて親知らずも一緒に抜いてもらってた助かった。
・仮歯は怖くてまだ殆ど使っていない。
Dr:新春早々お疲れ様でした。今日の手術以上に、歯周病の対策で長期間、通院して下さった事の方がありがたかったです。2ヶ月もすればしっかり噛めるようになるので、楽しみにしていて下さい。
元気・やる気・Dr.鈴木のコラム
2019/6/16
1/13のブログ「New Year 激しくImplant Go! スタート」の結果











