神戸市内から20代のモデル女性。主訴は「3年前に他院で入れたインプラントが痛くて噛めない。その事を訴えても『大丈夫。特に問題はありません。歯磨きが足りないのでは?』と言われるだけ。本当に大丈夫ですか?」
レントゲンで確認すると、かなり奥に傾いてインプラントが移植させていることが確認できます。
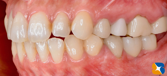
お口の中を拝見すると、かなり大きな被せ物がインプラントの支柱に接続されていることが伺えます。
そのため、歯茎も真っ赤に炎症しています。
このように異常に大きな被せ物を装着されてしまうと、なかなか上手くブラッシングは出来ません。
精密なレントゲン撮影を行うと、やはりインプラントを支える周囲の骨が、溶けて無くなっていました。
「申し上げにくい話ですが、状態が良くないので一刻も早くインプラントを撤去するべきです。」とお伝えしました。
しかし、インプラント完成からわずか3年しかしか経っていません。
・100万ほど支払ったお金はどうなるのか?
・インプラントを撤去した後の骨はどうなるのか?
・最悪、大きな入れ歯になってしまうのか?
・またインプラントは出来るのか?
・もう一度、インプラントをしたとしても同じような事にはならないか?
などなど不安と怒りが交錯された状態でしたが、セカンドオピニオンとしての私なりの見解を述べさせて頂いたところで本日は終了しました。
初診から8日後、「当院にてインプラントの撤去ならび、新しいインプラント移植 & 骨造成」を希望される電話がありました。
痛みと腫れがひどくなってきたとのこと。
前医との間での保証問題は解決済みとのことでしたので、早速 施術にとりかかりました。
グラグラ動いていたインプラントは、少し引っ張ると簡単に抜けてしまいました。
残された奥のインプラントも方向(角度)が悪いため操作性が良くありません。新しく移植するインプラントとも相性が悪いため、ためらうことなく撤去いたしました。(※事前に説明済み)
簡単に抜け落ちたインプラント跡と残されたインプラント
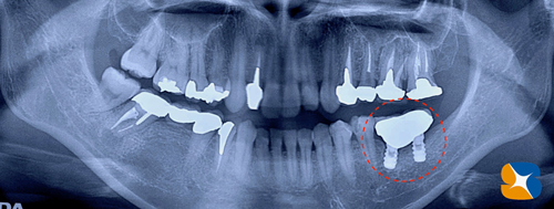
私の方で新たに2本インプラントの移植および失われた骨の造成も同時に行いました。
再生医療には絶対に欠かすことの出来ないCGFとAFGです(インプラント受診者は無料。骨の造成は別途35,000必要)。
さらに、CGFを圧縮したCGFメンブレンを使って「角化歯肉」とよばれる歯ブラシに耐えれる分厚い歯肉も再生させました。
林楊春先生 推奨 メガジェン直径4㎜と4.5㎜、長さ8.5㎜のインプラントを移植に使用しました。
術後2ヶ月の状態です。経過良好です。
型取り前の状態です。インプラントもグラつくことなく骨にしっかり根付いていました。
治療開始から4ヶ月後。仮歯などで様子をみながら本日、無事に完成しました。
レントゲンでチェック。大きく失われていた下顎の骨も順調に再生しています。
※インプラントの隣の白い歯は、私がセレックを使ってオールセラミックの歯を製作、そして装着しました。
〈患者様の感想〉
・すごく磨きやすいし、よく噛める。インプラントにして初めて良かったと思った。
・やり直すべきかすごく悩んだけど、鈴木先生に任せて本当に良かった。
・痩せた骨の再生部分も別に違和感なく、しっくりしている。
・前の時と違って、点滴代の追加(実費50,000円)が無いのが有難い。
〈Dr〉
もう後がないので、相当気合いが入りました。上手くいって良かったです。インプラントは上手くいけば本当に素晴らしい治療ですが、そうでないと悲しい結果になってしまいます。もし困ったことがあれば、力になれるとは思いますので是非ご相談下さい。
元気・やる気・Dr.鈴木のコラム
2019/6/10
トラブル・インプラントのセカンドオピニオン続々











