この4枚の写真は、10年前のもの。当時、奥歯の内側の状態が良くなかったので、歯を2分割にし、半分残して、半分抜歯を行なったものです。
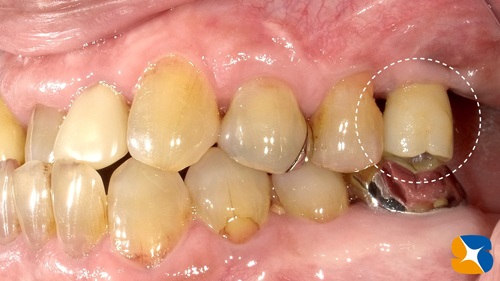
亡き母親の同級生の患者様、84歳。昨年の8月に来院。主訴は、「10年前に残してもらった奥歯がグラグラして噛めない。」でした。
CT画像でチェックすると、歯の根が割れていることが判明。歯の根の周りには大きな膿の袋が広がり、抜歯の必要がありました。
残された骨はペラペラの薄々状態であったことと、高齢も配慮して安全な「入れ歯」をすすめるも、「入れ歯を作っても使わないと思う。息子に相談したら【鈴木先生にインプラントを頼んでみれば?】」とのことでした。
インプラントを行う条件として、(1)インプラントを移植する部分に骨が全く無いので、骨作りに6ヶ月下さい。
(2)その後、しっかりした骨が出来上がっていたら、3ヶ月でインプラントの歯で噛めるようにします。
この2つの条件をもとに、まずは顎骨の骨作りに取り掛かりました。
β−TCP(人工骨)と自己血液から抽出したコラーゲンを混ぜ合わせて、失われた骨の再生医療です。
骨作りから6ヶ月後。骨がしっかり出来上がっていることを確認したうえて、インプラントの移植の施術を行いました。
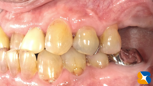
※オステム社製:TS III 直径5㎜、高さ8.5㎜
骨作りから始まり、10ヶ月後、待望のインプラントの歯が完成しました。
〈術前〉
〈術後〉
患者様の感想
・不安はありましたが、寝ながら(静脈麻酔点滴)してもらったので楽だった。
・左の奥歯で竹の子の堅いところを食べれたのが嬉しかった。
・食べることしか楽しみがないので本当に有難い。
〈Drの感想〉
人が生きるには、しっかり食べなければなりません。「しっかり食べる」には、歯が必要です。それも左右、上下の奥歯が必要です。
奥歯が無ければ前歯に負担がかかり、前歯もやがて崩壊します。
左側の奥歯が無いと右側に負担がかかり、歯が割れたり、折れたりします。
上下左右の奥歯をいつまでもkeepするためには失った奥歯をインプラントの歯で補う必要があります。
「奥歯の復活」を私は応援、手助けしています。
元気・やる気・Dr.鈴木のコラム
2019/5/19
亡き母への思いを巡らせ こん身のインプラント











