奈良市より30代の男性。「昨夜から親知らずが激痛。今まで抜歯が怖くて放置していた。寝ながら知らない間に(静脈麻酔鎮静法のこと)抜歯をして欲しい。何時間でも待つので抜いて欲しい。」でした。
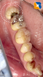
レントゲンからも大きな虫歯を確認。本日、昼休み中にインプラント手術があります。それが終わり次第抜歯を行うことにしました。
歯の上半分が虫歯のため、崩壊していましたので難しい抜歯になりましたが、無事に終えることができました。
痛みと腫れを最小限に抑えるために、自己血液を使った再生療法でコラーゲン(フィブリノーゲン)を作り、抜歯した後に添加しました。
製造したコラーゲン(フィブリン)が流出しないように、縫合をして抜歯口を閉鎖しました。
〈患者様の声〉
・信じられないくらい、痛くも怖くもなかった。
・10分くらいの感覚でしたが、1時間も経過していることにビックリした。
・とにかく楽やった。感動した!
〈Dr〉ありがたい御言葉、有難うございます。
明日5/1(水)令和の初日も診察しています。皆様のご来院をお待ちしております。
元気・やる気・Dr.鈴木のコラム
2019/4/30
平成の最後が激痛では嫌。いくらでも待つので親知らず抜いて〜











