奈良市から50代の弁護士。主訴は「右下の歯が浮いて噛めないので、高校の同級生の歯科医に相談したら『再生医療を駆使しながらインプラント施術をしている先生が石切にいる』ことを教えてもらったので相談にきた。ここ数年は騙し騙しやってきたが最近どうも調子が悪い。」でした。
レントゲン(歯科用CT)でチェックすると、奥歯の骨が全体に溶けてなくなっていることが判明。歯を押すと沈み、離すと浮いてくる状態でしたので「やはり抜歯は避けれません。抜いたあとの所は、インプラント施術を行うことは可能です。先ずは骨の造成を行ない、土台を安定させてからインプラント施術を行いましょう」と先生にお伝えしました。
本日も静脈麻酔鎮静法(無料)のもと、抜歯及び大きな膿の袋の摘出を行いました。その結果、予想以上に奥歯を支える骨が欠落していました。
人工の骨(β~TCP)と御自身のアゴ骨の一部をCGFに混在させて、欠落した顎骨を再生させる準備が整いました。
欠落した骨の造成を行う施術が完了しました。
本日は、インプラントの移植手術の日(静脈麻酔鎮静下)です。
これは、骨の造成施術を終えて5ヶ月後の歯茎の状態です。ほっぺから続く薄い粘膜が、インプラント移植予定の部分にまで広がっています。
完成したインプラントの周囲に、ほっぺたから続く薄い粘膜で囲まれることは良いとはされていませんが‥。
いざ歯肉を切開してみると大きく欠落していた骨が見事に再生(硬度のある骨)されていました。
骨の状態も硬くて良好。インプラント施術も無事に完了いたしました。
インプラントの周囲に固い歯肉で囲まれるように血液から製作したCGF の粘膜を敷き詰めました。
使用した糸はマイクロスコープで確認しながら、眼科用の極細糸で優しく丁寧に縫いました。
ノーベルバイオケア社:アクティブ直径4.3㎜。高さ10㎜。および On1 ベースアバットを設置。
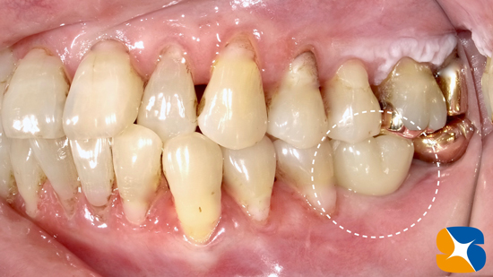
インプラントの施術から、2ヶ月後の状態。インプラントの周囲には歯ブラシの強い摩擦に耐えれる固い歯肉を確保することが出来ました。
※CGFのお陰で現在では、上顎(口蓋)から分厚い歯肉を切り取って貼り付けるようなことは行っていません。
骨の造成から始まり、約8ヶ月で完成しました。
〈患者様の感想〉
・最初の1週間は腫れたが、痛みは殆ど大丈夫だった。
・スタッフのメンテナンス指導もしっかりされていたので、歯間ブラシもインプラント用のタフトも上手く使えるようになった。
・「骨がないのでインプラントは厳しい」と言われてきただけに、この現実には感謝している。
・静脈麻酔の点滴は2回ともよく効いていたので楽だった(無料)。
〈Dr.鈴木〉
・「腫れないように」と「喋りに影響が出ないように」の要望に応えるために「抜歯」と「骨の造成」と「インプラント移植」の3つを同時に行うべきか悩みましたが、⑴抜歯と骨の造成と⑵インプラント施術を2回に分けて良かったです。
元気・やる気・Dr.鈴木のコラム
2019/7/4
弁護士の先生より難しい依頼











