2月末。50代の女性。主訴は「奥歯がグラグラして、噛むと痛い。出血も口臭も腫れもある。口腔ガン?ではないか心配で来た。」でした。
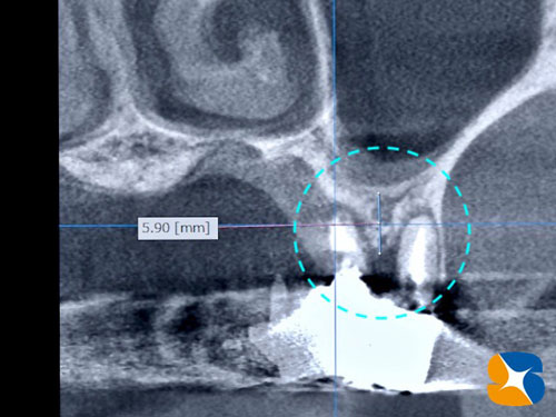
CT撮影の結果、銀歯の根が割れていることが判明しました。歯茎の腫れを治すには抜歯の必要性があります。さらに、抜歯した後はどうされますか?
インプラントを施術する患者様は点滴(眠りながらの静脈鎮静法)を無料で行っています。また、脈を確保しているので自己血を使った再生療法で抜いた跡の骨作りも同時に行っています。この患者様は直ぐにインプラント施術を選択されました。
※ただし患者様は低血圧をとても心配されていました。また、かかりつけ医で点滴も採血も上手くいかず「看護婦さん泣かせ」とまでおっしゃられていましたが、幸い点滴も採血もスムーズにいきました。
抜歯を行なったところ、2本の歯根が見事にバラバラに折れた状態で歯茎の中に突き刺さっていました。口腔ガン?と心配されていましたが問題はありませんでした。これから折れた歯根を摘出していきます。
抜いた銀歯も恐ろしい状態になっていました。
抜いた跡のところを一部削って、インプラントを移植しました。
※ノーベルバイオケア社製:アクティブ直径4.3㎜ × 深さ8.5㎜
移植されたインプラント周囲の骨を再生させるために、患者様の自己血を使ってコラーゲン(フィブリノーゲン)を製作する作業も並行して行います。
動物由来でない人工骨(β-tcp)とフィブリノーゲンを混ぜ合わせる直前の状態です。
人工骨とフィブリンが一塊となりましたので、骨の不足部に補填していきます。6ヶ月もすれば、本物の骨に置換されていく優れものです。
人工骨は、ソケットリフト(骨の厚みを6㎜→10㎜にボリュームアップ)にも活用しました。
約2時間ほどの施術が無事に終了しました。
本日の治療内容は
・抜歯
・徹底した膿の排出
・ソケットリフト(骨の厚みを6㎜→10㎜にボリュームアップ)
・インプラントの移植
・骨の再生療法
・超早期の歯肉回復でした。
〈患者様の感想〉
・最後の方になって話し声がきこえてきた。
・かなり楽だった。
・低血圧(低温)を心配していたが何もなくて良かった。
元気・やる気・Dr.鈴木のコラム
2019/3/4
トリプル3 抜歯した日にインプラントと骨作りの施術まで











