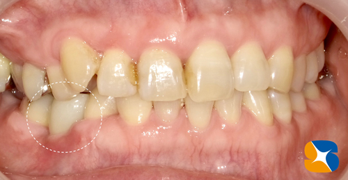
生駒から50代の女性。横向きの親知らずを点滴(静脈麻酔鎮静)を使って抜歯された娘さんの紹介で来院。主訴は「奥歯がノド側に倒れてグラついている。他院で治療中の歯(=点線)もグラグラしている。右下は痛くて噛めないので『抜歯』は覚悟しているが、怖くて悩んでいる。」でした。
話し合いの結果、グラついている歯は抜歯させていただき、その代わりにインプラントを移植して、しっかり噛める奥歯を作ることになりました。
「今まで点滴は上手くいった試しがない」ことを事前に聞いていましたが、運良く点滴のルートを確保することが出来ました。
いよいよ、ゆっくりリラックスして頂いての手術が始まります。
本日は、①抜歯+②インプラントの移植+③インプラント周囲の骨の増強手術(AFG & CGF使用)を同時に行う予定です。
インプラントを移植する際に、気をつけなければならない重要事項がいくつかあります。その一つに「正しい位置(ポジショニング)」があります。歯列(両隣)に対しての最適な位置。噛み合わせ(上下)に対しての最適な位置。この最適な位置を外してしまうと、『歯磨きが思う様に出来ない。歯間ブラシが窮屈で入らない。出血や異臭が絶えない。』といった問題が一生続きます。
家作りに図面(設計図)が欠かせないように、インプラントにも計画図面や安全ナビゲーションが必要です。それが「サージカルガイド(ステント)」と呼ばれるものです。当院では、無料で全てのインプラント手術に、この「サージカルガイド(ステント)」を用意して、図面通りの場所に寸分の狂いなく正確に植立させています。
〈写真〉約1時間ほどで手術は終わりました。
※ノーベルバイオケア社製。インプラント:アクティブ直径4.3㎜×長さ11.5㎜。アバットメント:On-1 base
〈写真〉手術から3ヶ月後の状態。丸い金属(アバットメント)の上に、セラミックの歯がいよいよ装着されます。
インプラントの周囲には、骨もしっかり出来上がっています。
セラミックの被せが装着されて、完成しました。
〈患者様の感想〉
・手術は1回だけでしたが、点滴のお陰で全く怖くもなく、安心して治療が受けれました。
・右側でしっかり噛めるようになったことが本当に有難いです。
・たった1本のインプラントのお陰で、全ての歯を1本ずつ丁寧に磨く習慣がつきました。
(余談)「風邪で手術の日を2回も変更してもらって申し訳なかったです。」
Dr:「よく決断して下さいました。たった1本のインプラントですが、奥歯の崩壊・喪失を防いでくれるはずです。」
元気・やる気・Dr.鈴木のコラム
2018/10/16
奥歯の倒壊 なんとかしたいが怖くて放置











