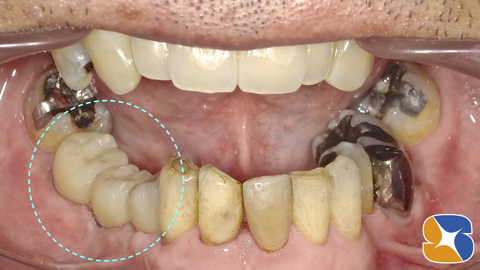
大阪市内より60代の男性。主訴は、「永年、内側に倒れ込んでいた奥歯がグラつき、痛くて噛めない。抜歯は覚悟している。でも、入れ歯だけは絶対嫌なので、抜歯後どうすればいいのか10カ所の歯医者および大学病院で相談してきた。しかし、『珍しい骨格(噛み合わせ)をしているし、口が大きく開けられないので治療は難しい』と全て断られてきた。先生、なんとか出来ひんか?」でした。
Dr.「歯も傾いていますが、アゴ骨も同じ角度で内側に傾いています。インプラントを移植する場合、理想的な歯並びを構築するためにも出来るだけ垂直にインプラントを植立させたいところです。しかし、手術中、ドリルでアゴ骨を突き破ったり、血管を傷つける恐れがあります。入念な計画をしっかり立てたうえで、可能ならインプラントの手術を試みます。
まず倒れ込んでいる歯2本と、グラグラしている歯1本を抜歯するとともに骨の増強を同時に行いました。
次に、インプラントを清掃する時に、歯ブラシの摩擦力に耐えれる強固な分厚い歯肉を、インプラント植立予定部に移植することにしました。インプラントの植立は、これらの前準備が全て整ってからです。
※静脈麻酔鎮静法付き
初診から7ヶ月後、細心の注意を払ってインプラントを植立しました。
※ノーベルバイオケア社製。前方よりMarkⅢグルービー直径4.0㎜×長さ13.0㎜、直径5.0㎜×長さ11.5㎜、直径5.0×長さ10.0㎜を移植しました。
※静脈麻酔鎮静法付き
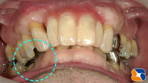
インプラント手術を終えてから2ヶ月後、色合わせと型取りを行いました。いよいよ完成間近です。
仮歯を1ヶ月間使用してもらった後、本日ジルコニア素材の白い被せ物を固定しました。
〈患者様の感想〉
「俺は点滴でほとんど寝てたから手術のことは何も知らん。そんなに腫れんかったし、思ってたほど大変と違うかった。見た目もキレイになったし、なによりしっかり噛めるようになったので嬉しい限りや。メシが美味い。おかげで3㎏も太ってしもた。先生ありがとうやで。人間食べなアカン。グッド!」
※ 静脈麻酔鎮静法は、インプラント施術を受けられた方に限り何度でも無料です。
※ お支払いは、2分割〜5分割まで選択可能です。
元気・やる気・Dr.鈴木のコラム
2018/9/1
史上最強 全身全霊でインプラント治療にトライ!











