明日(8/11山の日)、難しい症状のインプラント治療を行います。レントゲンと患者様のお口の模型を見ながら、骨の状態を徹底的に頭の中に叩き込みます。そして手術のイメージを何度も描きながら、手術器具の準備をひとり夜な夜な行っています。
〈手術1〉60代の女性。主訴は「糸切り歯がグラグラしている。歯茎を押すといつも膿みが流れる。何処の医院へ行っても入れ歯か、他の歯を削って4連結のブリッジしかないと言われる。
本当はインプラントを希望してるので、抜くに抜けない。」でした。
歯科用CTで患者様の骨の状態を診断します。糸切り歯(犬歯)のほっぺた側の骨が、全て失われている状態でした。インプラントを断られるのも無理はありません。
仮にインプラントを施術するにしても、まず骨の造成を行ってから約1年待ちます。その後、インプラントの手術を行い、半年後うまくいけば完成、といったところでしょうが…。
しかし、私は一日で
(1)抜歯
(2)インプラントの移植
(3)骨の造成
を行うことに致しました。
(1)犬歯の抜歯および腫瘍の塊を骨から剥がし取りました。CT画像から、この状況は把握出来ていましたので慌てることはありません。全て予定通りです。いよいよインプラントの移植と骨の造成が始まります。
(2)インプラントの先端の僅かな骨を頼りに移植を試みます。
(3)患者様のアゴ骨の一部を採取したものに、β-TCP(動物由来の骨でない人工骨)とCGF(特定細胞加工物フィブリンゲル)を混合させて骨の欠落部を埋めます。
最後、CGF(フィブリンゲル)を圧接した膜を何層にも重ねて、切開した歯肉を元通りに閉じます。
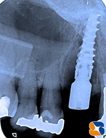
使用インプラントメーカー:ノーベルバイオケア社製のアクティブ直径4.3㍉×13㍉
※ 静脈麻酔鎮静法は、インプラント施術を受けられた方に限り何度でも無料です。
※ お支払いは、2分割〜5分割まで選択可能です。
〈手術2〉50代の女性。主訴は、「長年、前に突き出た入れ歯をしているが、しゃべりにくいし、食事も美味しくない。インプラントには興味がある。最小限の予算で検討して下さい。」でした。
歯科用CTの診断結果、前歯の骨の厚みが4㍉にも満たない反りくり返った薄い骨質である事が分かりました。
また奥歯の骨もわずか8㍉ほどの深さ(上顎洞底まで)しかありませんでした。
前歯は、薄い骨を2分割しながらのインプラント移植。
奥歯は、上顎洞の粘膜を押し上げながら(ソケットリフト3㎜)インプラント移植を行いました。
※ 使用インプラントメーカー:奥歯は、ノーベルバイオケア社製のスピーディーグルービー3本(前方から順に直径3.75㍉×11.5㍉と10㍉。直径4.5㍉×10㍉)
前歯は、オステム社製のSLA(直径3.0㍉×11.5㍉2本)
※ 静脈麻酔鎮静法は、インプラント施術を受けられた方に限り何度でも無料です。
※ お支払いは、2分割〜5分割まで選択可能です。
Dr鈴木のコメント:お二人とも長時間にわたる手術、お疲れ様でした。頭で描いていたイメージ通りの完璧な手術が出来ました。どのインプラントも残された骨にガッチリ固定できたと思われます。
ではしばらくの間、三人の子ども達を連れて夏の馬路村を満喫してまいります。
元気・やる気・Dr.鈴木のコラム
2018/8/11
「山の日」難しい山を攻める











