こんにちは。夜にもなると秋の虫の声が、我が医院にも鳴り響く季節になりました。さて、梅雨〜真夏の間、通院が厳しかった時期に患者様と共に頑張ってきた症例を4回に分けて報告していきたいと思います。
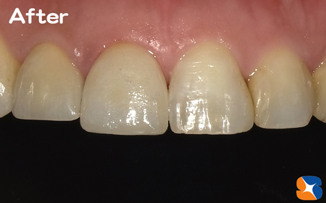
40代の女性。主訴は「虫歯になって詰めている所が、すぐに外れたり、色が変ってしまう。何回もやり直すのが嫌なので、この歯をセラミックの歯に変えて欲しい。」でした。
『セラミックを被せる』からといって、便宜的に神経を抜かれてしまうケースもあるようですが、当院では、血液を伴った神経を大切に、慎重に、残します。また、被せた後も痛みが出ないように、削る量も最小限にしています。
※オールセラミックは、金属を全く使用していないセラミックですので、歯を削る量を最小限に抑える事が出来ます。
当院のオールセラミックの被せ物は、技工士さんに頼ることなく、全ての工程を私が責任をもっておこなっています。個々の患者様に合った、色、大きさ、厚みのセラミックの被せを製作していきます。
※使用ブロックは、イボクラー社製のe-max
歯を削り終えるとセレックのビデオカメラを使って口の中の状態をPC内に読み込みます。
次に理想的なセラミックの被せをPC画面で設計します。設計が出来上がると、そのデーターを元にセラミックブロックを削る機械に送信します。
約10分後、セラミックの被せが出来上がります。微妙な歯の形の修正や、色付け、光沢、凸凹などのキャラクター付与も私の担当です。
前歯…60,000円
臼歯…50,000円
大臼歯…60,000円
※保証期間は3年間です。
元気・やる気・Dr.鈴木のコラム
2017/9/23
NEW STYLE COLLECTION オールセラミック ①











