30代の女性。主訴は「前歯の黒いスジがきになる。吸うと変な味がする。やり変えて欲しい。『きちんとやってくれる先生』と聞いてここに来た。よろしくお願いします。」
早速、セラミックの被せ物を外してみると、残された歯は、腐食してもろもろになっていました。この状態が、歯根(歯茎の中の根)まで広がると、『抜歯』になる可能性が生じます。
技工士さんに頼んで、白いセラミックの土台の補強芯(追加料金なし:セラッミク代に含む)を作っていただき、残った根にくっ付けました。この患者様の場合、オールセラミックを希望されていましたので、オールセラミックの被せ物にはオールセラミックの土台の補強芯がマッチします。
当院では、セラッミックの製作にあたり、型取り〜仕上げ完成まで一貫して私が責任をもって作っています。
利点として
(1)納期が早い
(2)ドクターの知っている全ての情報(前歯の厚み、大きさ、長さ、角度、丸み)が前歯に注入されます。
また、通常の「型取り→石膏模型」だけでは患者様の顔の表情や唇の大きさ、厚みなどは分かりませんが、実は審美には非常に大切なポイントです。
このポイントもきちんと反映させています。
(3)微妙なセラミックの色を調節するファーネス器機を持っていますので、細かな色の調整をその場で修正します。
「まあ〜こんなもんでいいか(内心)!?」とか「すいません。色が少し黄色過ぎたので、色合わせをしておきますので、来週また来て下さい。」といったような事は一切ございません。
〈患者様の感想〉
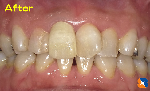
•もろもろになっていた虫歯の部分が、『歯茎の中にまで入り込んでいた』と聞いてショックでしたが、キレイな前歯が入ってとても嬉しい。自然な感じで、違和感もなくとっても満足です。
※このオールセラミックの治療費は、¥60,000でした。とても高額なセラミック治療を選択して頂いて本当にありがとうございました。皆様にもっと喜んで頂けるように、がんばります。院長
セレックでお口の中を読み取ったところ。
PC画面で、この患者様に合った歯の形を記憶が薄れないうちに、素早く設計しています。
元気・やる気・Dr.鈴木のコラム
2017/9/3
昔かぶせた前歯の際が黒くなってきたら?











