30代の女性。主訴は「歯医者が苦手で、ぼろぼろのまま放置していた奥歯が、最近痛い。かかりつけ医は、『抜歯は避けられない。抜歯した後は、入れ歯かインプラントしか無理』と言われた。抜歯するだけでも恐いのに、インプラントはもっと恐い。それにお金も高い。でも、入れ歯は入れ歯で嫌。小さな子供もいるし、どうすればいいでしょうか?」でした。
話し合いの結果、
(1)静脈鎮静法を使って居眠りしながら、抜歯とインプラントの手術を同時にする。
(2)骨の増殖も含めて、抜歯〜インプラント完成まで5ヶ月以内で仕上げる。
(3)型取りの日(手術ではない日)も静脈鎮静麻酔法は無料サポートする。治療費の支払いは、3分割で構わない。
ことを伝えて治療に取り組みました。
まずは、腐食した奥歯の抜歯を行いました。この場所に、骨を増殖させる治療を行いながらインプラントを埋めていきます。
インプラント…スプライン(ジーマー社製)
動物由来ではない吸収性の骨の補填材…β-TCP(オリンパス社製)
AFGとCGF(自己血液由来のフィブリノーゲンの塊)
を使って抜歯した痕を全て隙き間なく、きっちり埋めます。
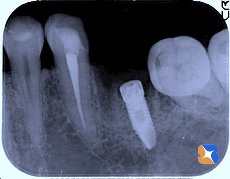
インプラントの手術が終わった直後のレントゲン画像。CTを使って事前の治療計画通り、うまく施術が行われました。
手術後、わずか3ヶ月後の状態です。傷口はキレイに治り、インプラントは骨としっかり結合していてがっちり安定しています。
1ヶ月間、仮歯を入れて噛む練習をしてから、本番のセラミックの被せ物を装着しました。
〈患者様の感想〉
•2回してもらった点滴サポート(静脈鎮静法)が、本当に楽だった。お金も助かって嬉しかった。
•初めは怖々噛んでいたが、直ぐに噛むのに慣れた。
•今までより歯磨きを長くきちんとする習慣がついた。
計画通り、うまくいって良かったです。これからは、定期的なメンテナンス通院も宜しくお願いします。
元気・やる気・Dr.鈴木のコラム
2017/8/25
まさか私がインプラントの歯で噛めるなんて!











