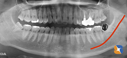
30代の男性。主訴は「親知らずを抜きたいが、正直恐くて放っておいた。しかし、ズキズキ痛み出してきたので覚悟はしている。ネットで探してここに来た。是非とも先生にお願いしたい」でした。
患者様の痛み、腫れ、恐怖を考慮して、静脈鎮静法(点滴麻酔)を行いながら、虫歯で崩壊した横向きの親知らずを抜くことにしました。
幸い短時間で抜歯は終了。ただし、抜歯あとの早期回復と痛みを軽減させるため、テルプラグ(無料)を入れて抜歯は終了しました。
元気・やる気・Dr.鈴木のコラム
2016/12/16
恐くない親知らずの抜歯











