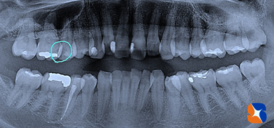
当院では「レントゲンで虫歯=青丸=の説明をされても実際よく分からない」という患者様の声を受けて、治療途中に虫歯の部分をビデオで記録します。その後、テレビモニターで虫歯の画像を患者様に確認してもらってから治療を続けています。
百聞は一見に如かず。最近、歯科用ビデオをPanasonic製に機種変更。画像がかなり美しく鮮明になり、患者様からも「とても分かりやすい!」と好評。
当院では、虫歯をビデオで撮影して患者様に報告しています。虫歯の存在を口で伝えるだけでなく、実際に見て確認して頂くことを目的にしています。
〈症例〉暗くて最も見えにくい上の奥歯もビデオで確認していただいています。











