元気・やる気・Dr.鈴木のコラム

 2013/2/25 

金属を使わないセラミック①
カテゴリ:審美 歯科全般 

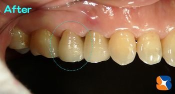
メタルを使わないセラミック これは(点線の円内)本物の歯ではありません。削って小さくなった歯にセラミック(金属不使用)を被せたものです。

金属を使わないセラミック これがオールセラミック(金属を全く使っていないセラミック)の実物です。強度もあり、長持ちします。また、色合いも本物の歯と区別がつかないほど綺麗です。

被せるために歯を削る必要があります セラミックを被せるために、歯を削らなくてはなりませんが、出来る限り神経を残すように努めています。
治療期間2ヶ月。治療費は約80,000円(旧100,000円)でした。