元気・やる気・Dr.鈴木のコラム

 2013/3/6 

金属を使わないセラミック②
カテゴリ:審美 歯科全般 

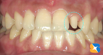
1本反対の噛み合わせ 30代の女性。主訴は「前歯1本、中に入っているのが気になる。矯正で直そうと考えていたが『手術が必要』と言われた」

金属を使わないセラミック Dr「矯正以外の方法で直す方法があります。歯を薄く削って、上からセラミック(メタルレス)を被せれば綺麗な歯並びになると思います」

神経を残すことが出来たケース 左の写真は、歯を削った後の状態です。細く、小さくなっていますが、神経が取らずに残しています。