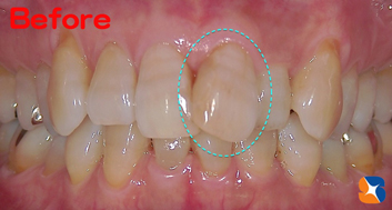
遠方より、30代の女性。主訴は「矯正以外で歯並びをキレイにしたい。何か良い治療はありませんか?」でした。
Dr「オールセラミック(金属を使わないセラミック)を被せることをお勧めします。
薄くて硬い材質ですので、歯を削る量も少なくて済みます。また、当院のオールセラミックは1本80,000円(通常の平均価格120,000円)であることもお勧めポイントです。」
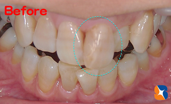
〈治療前〉
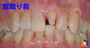
〈治療途中〉
〈治療後〉
1本だけ突出していた前歯は、歯列内にキレイに修めることが出来ました。
※ホワイトニングは地元で検討して頂きました。











