元気・やる気・Dr.鈴木のコラム

 2013/2/17 

ホワイトニングで前歯を白くする②
カテゴリ:審美 歯科全般 

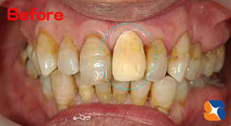
前歯の変色 50代の女性。「前歯の色を白くしたい。あと、さし歯=左◯=もやり換えた方がいいよね」でした。

ホワイトニング後にセラミックを換える 施術順…
①上の歯をホワイトニング(4週間)
②下の歯のホワイトニング(4週間)
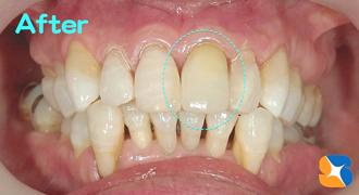
③ホワイトニング終了後の白色に合わせて、前歯を1本セラミックに交換しました。

綺麗になった口元 トータル3ヶ月を必要とした治療内容でしたが、とても綺麗な口元に変わったと思われます。
参考までに費用:ホワイトニンング上・下で60,000円。オールセラミック1本80,000円(旧100,000円)