20代の女性。主訴は「歯を自然に白く、綺麗にしたい」でした。Dr:「当院のシステムは、上の歯だけなら30,000円。下の歯も行うと、更に30,000円。上・下で総額60,000円となります。方法は、1週間に一度来院していただきます。歯茎の炎症や歯の知覚過敏の有無をチェックして問題がなければ、漂白の薬を歯に塗り、専用の光で反応させます。
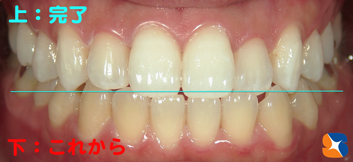
家では、濃度の低い薬をマウスピース内に注入し、噛んで寝ていただくだけです。左の写真は4週間後の様子です。
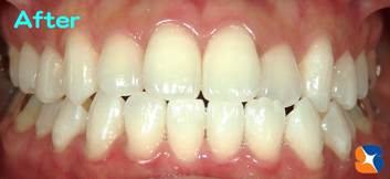
左の写真は、更に4週間かけて下の歯を白くした状態です。とても自然に白く美しくなりましたよね。











