元気・やる気・Dr.鈴木のコラム

 2012/9/13 

すごい親知らずの抜歯②
カテゴリ:歯科全般 親知らず 

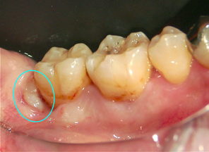
ちらっと見える親知らず 30代の男性。主訴は「親知らずの所に物がよく詰まる。抜歯して下さい」でした。
Dr;「親知らずは、横向きに生えていますが一部だけ見えています。この隙間を歯磨きでキレイに保つのは難しいです。食べ物が挟まったまま放置しておけば手前の歯まで虫歯になります。ガンバって抜歯を致しましょう!」
から見た写真

横向きに生える親知らずから見た写真
横向きに埋まってますので、引っ張って歯を抜くことは出来ません。難しい抜歯になりそうです。事前に抜歯方法と抜歯後に出やすい症状について説明します。

難しい抜歯 横向きに深く生えている歯を抜歯すると、①〜⑤のような症状が現れます。
①ツバを飲むと痛い
②大きく口が開けれない
③薬がきれると痛む
④冷たい物にしみやすくなる
⑤アゴがだるい

※これらの症状は2週間もすれば落ち着きますので、ご安心下さい。

抜歯後の痛み 抜歯は短時間で無事に終わりましたが、約2週間ほど術後の疼痛が出ました。このような場合、消毒、洗浄、投薬、塗り薬などを症状に合わせて対処しております。抜歯後のケアーもご安心下さい。