元気・やる気・Dr.鈴木のコラム

 2012/1/31 

ずっと気になっていた2本の前歯  
カテゴリ:歯科全般 

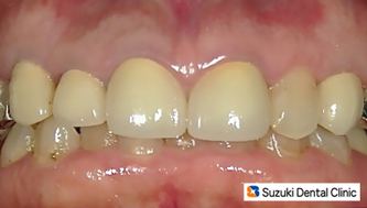
際が黒い前歯50代の女性。主訴は「前歯の際を爪で触ると引っ掛りがあります。色も黒いのでやり換えたい」でした。Dr:「被せている前歯が、横長であることも気になります。 まず古い前歯を外して、仮の歯に代えます。仮歯を何度か調節することによって、横長を→縦長の前歯に変えることが可能ですが、3ヶ月は必要です。それでも構いませんか?」

セラミックの歯にチェンジ後 その結果、このようなセラミックの前歯に代わり=写真、患者様からは「勇気を出してやってみて良かった」とニコニコ満足していただけました。