元気・やる気・Dr.鈴木のコラム

 2011/11/1 

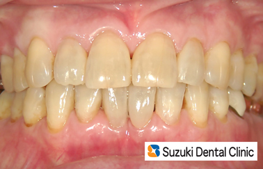
前歯のすき間すぐに詰めます
カテゴリ:歯科全般 

前歯のすき間 50代の女性。主訴は「前歯を削らずに、すき間だけを埋めて欲しい」でした。

すき間を詰める これは、歯科用のプラスチック(レジン)を隙間に張り付けたところです。短期かつ経済的(保険適用)かと思われます。