ここ石切では、石切神社の秋祭りが、間もなく行なわれようとしています。
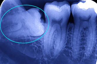
写真の患者様は、辻子青年団員。主訴は「祭りの前に、親知らずの歯を抜いてほしい。」でした。歯の一部が見えているのを除き、ほとんどの部分が歯茎の中に埋もれていました。
レントゲンで確認すると、親知らずの歯は、真横向き=写真=に生えていました。私は「この抜歯は今すぐには…」と考え、日を改めて抜歯をさせて頂くことになりました。
別の日、患者様の頑張りもあって、抜歯はスムーズに終わりました。抜歯後は、当院のパターン
①テルプラグ
②溶ける糸
の使用です。追記:あと、お酒は控えめになさって下さいね!











