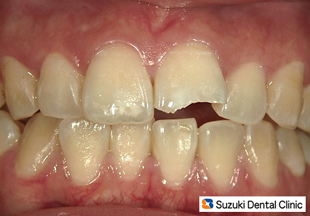
30代の女性。主訴は「こけて前歯を打った。その時、前歯が欠けた。ぐらつきはないが、風に当るとしみる。何かいい方法はないですか?」でした。 前回のコラムと同様、神経を残して、欠けた部分にレジン(歯科用のプラスチック)を詰める治療(保険)を行いました。その結果、歯の痛みはなくなり、見た目も良くなり、患者様には満足して頂くことができました。