70代の男性。主訴は「さし歯が抜けた。また、入れ歯の金具(バネ)も折れた。入れ歯が落ちて噛めないので、なんとかして欲しい。」でした。
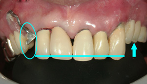
楕円線:さし歯がない状態
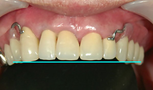
水平線:前歯のかぶせ物が長い。
矢印↑:前歯と奥歯に大きな段差。
来院されたのが、10月の下旬。
入れ歯の金具(バネ)が壊れていたので、入れ歯は機能していない(奥歯では噛めない)状態でした。
さらに前歯のかぶせ物5本すべてが、虫歯などで傷んでいる状態=上の写真=でしたので前歯のやり換えからのスタートとなりました。前歯をやり換えた後に、奥の入れ歯の製作、の順序となりますので、通常よりも通院期間が長くなります。その旨、患者様には理解してもらい、週に1〜2回のペースで2ヶ月間、来院して頂きました。
その結果、本日(28日)新しい前歯5本と新しい入れ歯を無事にお渡しする事ができました=下の写真=。患者様は「おおきに、助かりました。」と言われてにっこり帰られました。 ※すべて保険治療です。
今年の診察は、本日で終わりです。この一年間、ありがとうございました。
新年は1月6日(木)9時30分から診療が始まります。
2011年もどうぞよろしくお願い致します。 鈴木歯科医院 鈴木雅智
元気・やる気・Dr.鈴木のコラム
2010/12/29
2010年も無事に終わりました。











