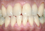
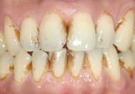
30代、男性。この患者さまの主訴は「前歯の着色と歯石をとって欲しい」でした。「忙しいので、なかなか時間がとれない」とのことでしたので、1日で着色と歯石除去をおこないました。
治療時間は約1時間。治療費は保険適用で約3,000円(初診料を含む)です。
当院では本格的なホワイトニング治療(自費)の他にも、保険適用内で歯と口元の審美治療をおこなっています。
就職活動中の方にもおすすめのリクルートプランもありますので、ぜひ、お気軽にご相談ください。
元気・やる気・Dr.鈴木のコラム
2010/12/24
短時間で歯の着色がすっきり!











