東大阪市より60代の女性。「受け口がひどくて、噛み合わせが悪い。いろんな歯医者で入れ歯を作ってもらったがまともに噛めない。歯科医からは『保険の入れ歯では無理。インプラントしかない!』と突き放され、見捨てられる。息子に調べてもらってここに来た。」でした
通常通り自費の入れ歯を作る時と同じ手法で、保険の入れ歯を作っています。
最近、入れ歯を作る若手の技工士さんの成り手がありません。また技工士さんも高齢化が進んだことに加え、優れた入れ歯を作る技工士さんの制作代金がかなり高くなりました。医院はコスト削減のため、入れ歯のレベルは下がる事はあっても、上がる事はまずありません。入れ歯作りは、こだわる程お金がかかりますので当然です。
ただし当院では、開業時より【保険で最高の入れ歯を作る】と言う理念は一貫しております。
いっさい手を抜く事もなく、材料をケチる事もなく、時間とお金費やしています。保険でも数万年を支払っていただく限り、ベストを尽くしています。
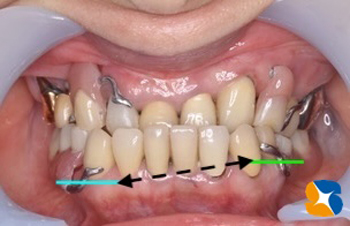
いつも通りの保険の部分入れ歯が完成しましたが、どうしても金具のバネが…。
「これまでの入れ歯の中で一番噛みやすいわ!でも見た目気になる」とのこと。
今まででしたら「すいません。これ以上は…」と謝っていたのですが、昨年から技工士さんと打ち合わせを重ね、
新たな入れ歯に取り組むことにしました。
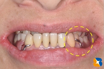
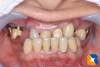
保険の部分入れ歯をカットして、目立たない様に改造できる様にしました。
金具を取っ払って、弾力のある特殊なピンク樹脂を使って「目立たない、沈まない、パカパカしない」入れ歯に改造(アレンジ)します。
アレンジは1箇所につき¥50,000円です。まずは保険の入れ歯を使っていただき、痛い部分を調節して、慣れることが条件です。
これなら使える、大丈夫!ってなった場合に限り、アレンジしたい入れ歯を預かり、注文を受付ています。
元気・やる気・Dr.鈴木のコラム
2026/2/22
2/16(月) 新開発!沈まない!ナチュラル•ノンクラスプ入れ歯 参入!!(入れ歯)











