12月28日、今年最後のインプラント施術。76歳の女性。主訴は「総入れ歯でご飯を食べていても全く美味しくないし、うっとしい。もう嫌になる。永いこと、アワビやタコやたくわんを食べていない。インプラントも考えていたが、骨が無いので断られた経験がある。それにとっても怖がり。どうしたもんですかね?」でした。
まず怖さ対策としては→静脈麻酔鎮静法で半分眠りながらの施術をインプラント治療を行う私自身が常におこなっています。(無料)
次に痛みや腫れの対策として
①歯茎を切らずにインプラント施術を行う
②点滴の中に、痛み止めや化膿止めのお薬を投与しながらおこなう
③採血させていただき、傷口の回復に欠かせないフィブリンの塊を当院で加工したものをインプラントの周囲に添えて傷口を短期で回復させます。
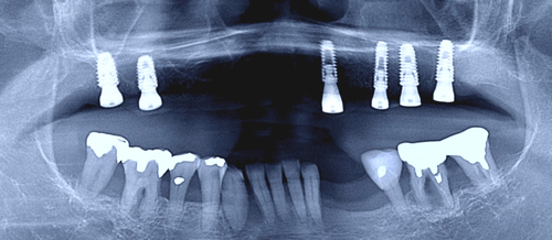
CT画像の分析を徹底的にした結果、僅かに残された骨の厚みと高さのある部分に、6本のインプラントを移植することが出来ました。
〈患者様の感想〉
・アゴが疲れた
・寝ていたと思うので全く怖さとか緊張感とかは無く楽だった
・春頃の完成が楽しみ。早く何でも噛んでみたい
〈Drより〉
長時間の施術、お疲れさまでした。アゴの骨幅が薄く、高さも無い場所に、歯肉をメスで切らずにインプラントを移植するのは相当ハードでしたが、僅かに骨のありそうな場所にインプラント移植を行いました。総て骨とガッチリ固定してくれることを願っています。また、スタッフのみんなも一年間本当にありがとう!
元気・やる気・Dr.鈴木のコラム
2018/12/29
永年の夢に向かって …最後を飾るインプラント











