元気・やる気・Dr.鈴木のコラム

 2014/1/24 

前歯が根元から折れた〜食事中 
カテゴリ:審美 歯科全般 

事故で前歯が抜けそう 50代の男性。主訴は「食事中、前歯が折れた。グラグラで痛い」
Dr「深く折れていそうですね。まず、歯を残せるかが心配です」

根を残して差し歯を被せる 検査の結果、歯を残していく事に。痛む神経を抜いた後、歯茎の整形手術を行い、折れた歯の根を金属芯で補強する。

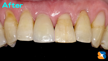
歯を残して部分入れ歯や連結ブリッジを回避 保険の前歯(=写真)を被せて完治。完成までの3ヶ月間は仮歯を装着。患者様は、抜歯を覚悟されていましたので、綺麗な前歯に差し代わって残せた事に、とても喜んで下さいました。