30代の男性、HPをご覧になって来院。主訴は「痛いので何件かの歯医者に行ったが、『ここでは抜けない』と断られた。土曜日しか時間の都合が合わないので、大きな病院では難しい。HPで検索(親知らず 大阪 名医/後日談)してここに来た」でした。(恐縮です)
Dr:「これは難しいですよ。理由は
①歯が歯肉に埋もれて見えない
②真横に生えている
③90度に根の先が折れ曲がっている
④口が大きく開かないので施術が困難
骨の中に埋もれている割合+横向き度合い+根の曲がり具合(左下の写真)→抜歯の難レベル(A→B→C→ウルトラC)から考えると“ウルトラC”に属します。
治療開始から約60分で難しい親知らずの抜歯が終わりました。抜歯跡はテルプラグ(無料)を填入して抜歯後の痛みや腫れを保護します。
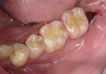
抜歯から2週間後の状態です。痛みや腫れはほとんど無くなり、薬も飲まなくて大丈夫になったそうです。
決して名医ではありませんが、抜歯中に痛くないことはもちろんのこと、抜歯後の腫れや痛みを
少しでも抑えれるように努力を積み重ねています。これからも宜しくお願い致します。鈴木雅智
元気・やる気・Dr.鈴木のコラム
2013/11/18
「親知らず 大阪 名医」でHP検索











